Warehouse Overstock Promotion |  Save 10%  on Premium Lab Supplies |  Shop Now

Menu

This product has been added to the cart.

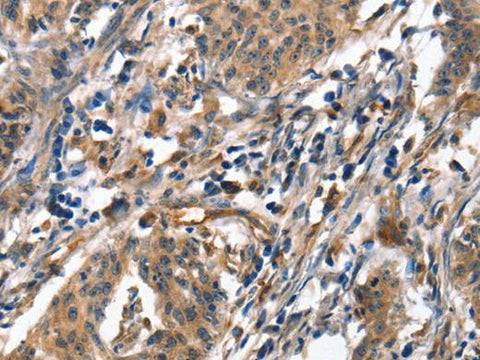
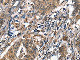
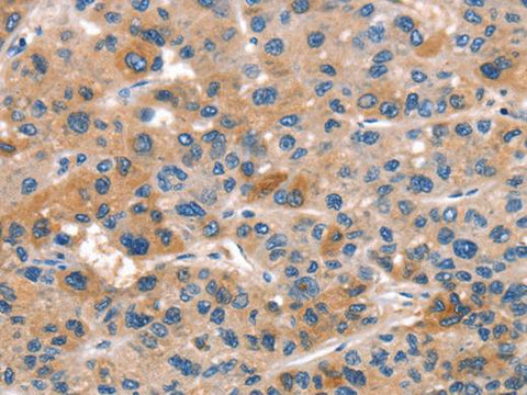
ALOX15 Polyclonal Antibody

SKU: E-AB-16237-200

  • $ 55995


Request a Quote

ALOX15 Polyclonal Antibody

 

SKU # E-AB-16237
Reactivity Human, Mouse, Rat
Host Rabbit
Applications IHC

 

Product Details

Isotype IgG
Host Rabbit
Reactivity Human, Mouse, Rat
Applications IHC
Clonality Polyclonal
Immunogen Synthetic peptide of human ALOX15
Abbre ALOX15
Synonyms 15 LIPOXYGENASE RETICULOCYTE ARACHIDONATE,  15 LOX,  15 LOX 1,  15 lipoxygenase 1,  15-LOX,  15LOX 1,  ALOX15,  Arachidonate 15 lipoxygenase,  Arachidonate 15-lipoxygenase,  Arachidonate omega 6 lipoxygenase,  Arachidonate omega-6 lipoxygenase,  LOG15,  LOX15
Swissprot
Cellular Localization Cytoplasm.
Concentration 0.5 mg/mL
Buffer Phosphate buffered solution, pH 7.4, containing 0.05% stabilizer and 50% glycerol.
Purification Method Affinity purification
Research Areas Cancer, Cardiovascular, Metabolism, Signal Transduction
Conjugation Unconjugated
Storage Store at -20°C Valid for 12 months. Avoid freeze / thaw cycles.
Shipping The product is shipped with ice pack,upon receipt,store it immediately at the temperature recommended.

 

Related Reagents

Applications Recommended Dilution
IHC 1:50-1:200

 

Background

Arachidonate 15-lipoxygenase is an enzyme that in humans is encoded by the ALOX15 gene.Non-heme iron-containing dioxygenase that catalyzes the stereo-specific peroxidation of free and esterified polyunsaturated fatty acids generating a spectrum of bioactive lipid mediators.Converts arachidonic acid into 12-hydroperoxyeicosatetraenoic acid/12-HPETE and 15-hydroperoxyeicosatetraenoic acid/15-HPETE.Also converts linoleic acid to 13-hydroperoxyoctadecadienoic acid.May also act on (12S)-hydroperoxyeicosatetraenoic acid/(12S)-HPETE to produce hepoxilin A3.