Warehouse Overstock Promotion |  Save 10%  on Premium Lab Supplies |  Shop Now

Menu

This product has been added to the cart.

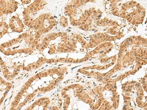
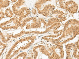
ZBTB8A Polyclonal Antibody Reactivity Human

SKU: E-AB-52636-200

  • $ 55995
  • Save $ 4000


Request a Quote

ZBTB8A Polyclonal Antibody Reactivity Human

 

SKU # E-AB-52636
Reactivity Human, Mouse, Rat
Host Rabbit
Applications WB, IHC

 

Product Details

Isotype IgG
Host Rabbit
Reactivity Human, Mouse, Rat
Applications WB, IHC
Clonality Polyclonal
Immunogen Fusion protein of human ZBTB8A
Abbre ZBTB8A
Synonyms BOZ-F1,  BOZF1,  BTB/POZ and zinc-finger domain-containing factor,  BTB/POZ and zinc-finger domains factor on chromosome 1,  ZBT8A,  Zbtb8a,  Zinc finger and BTB domain-containing protein 8A
Swissprot
Calculated MW 50 kDa
Observed MW Refer to figures
Cellular Localization Nucleus.
Concentration 0.6 mg/mL
Buffer Phosphate buffered solution, pH 7.4, containing 0.05% stabilizer and 50% glycerol.
Purification Method Antigen affinity purification
Research Areas Epigenetics and Nuclear Signaling
Conjugation Unconjugated
Storage Store at -20°C Valid for 12 months. Avoid freeze / thaw cycles.
Shipping The product is shipped with ice pack, upon receipt, store it immediately at the temperature recommended.

 

Related Reagents

Applications Recommended Dilution
WB 1:500-1:2000
IHC 1:50-1:300

 

Background

May be involved in transcriptional regulation.