Warehouse Overstock Promotion |  Save 10%  on Premium Lab Supplies |  Shop Now

Menu

This product has been added to the cart.

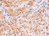
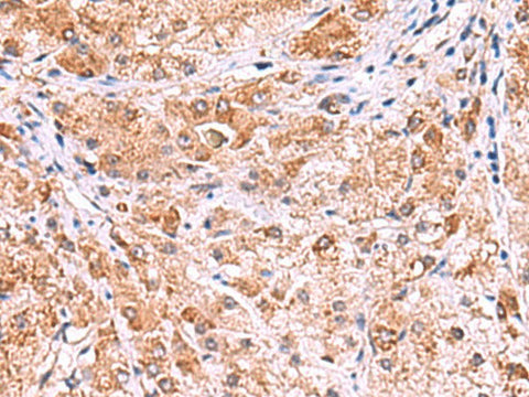
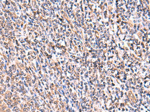
UXS1 Polyclonal Antibody

SKU: E-AB-52942-200

  • $ 55995
  • Save $ 4000


Request a Quote

UXS1 Polyclonal Antibody

 

SKU # E-AB-52942
Reactivity Human, Mouse, Rat
Host Rabbit
Applications IHC

 

Product Details

Isotype IgG
Host Rabbit
Reactivity Human, Mouse, Rat
Applications IHC
Clonality Polyclonal
Immunogen Fusion protein of human UXS1
Abbre UXS1
Synonyms member 12,  FLJ23591,  SDR6E1,  UDP-glucuronate decarboxylase 1,  UDP-glucuronic acid decarboxylase 1,  UGD,  UXS-1,  UXS1,  short chain dehydrogenase/reductase family 6E,  uxs1
Swissprot
Cellular Localization Golgi apparatus>Golgi stack membrane.
Concentration 1.08 mg/mL
Buffer Phosphate buffered solution, pH 7.4, containing 0.05% stabilizer and 50% glycerol.
Purification Method Antigen affinity purification
Research Areas Metabolism,  Signal transduction
Conjugation Unconjugated
Storage Store at -20°C Valid for 12 months. Avoid freeze / thaw cycles.
Shipping The product is shipped with ice pack, upon receipt, store it immediately at the temperature recommended.

 

Related Reagents

Applications Recommended Dilution
IHC 1:50-1:300

 

Background

This gene encodes an enzyme found in the perinuclear Golgi which catalyzes the synthesis of UDP-xylose used in glycosaminoglycan (GAG) synthesis on proteoglycans.The GAG chains are covalently attached to proteoglycans which participate in signaling pathways during development.Multiple transcript variants encoding different isoforms have been found for this gene.