Warehouse Overstock Promotion |  Save 10%  on Premium Lab Supplies |  Shop Now

Menu

This product has been added to the cart.

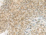
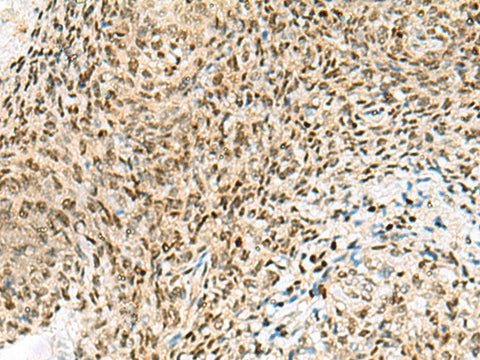
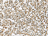
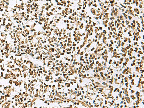
UBLCP1 Polyclonal Antibody Reactivity Human

SKU: E-AB-52227-200

  • $ 55995
  • Save $ 4000


Request a Quote

UBLCP1 Polyclonal Antibody Reactivity Human

 

SKU # E-AB-52227
Reactivity Human, Mouse, Rat
Host Rabbit
Applications IHC

 

Product Details

Isotype IgG
Host Rabbit
Reactivity Human, Mouse, Rat
Applications IHC
Clonality Polyclonal
Immunogen Fusion protein of human UBLCP1
Abbre UBLCP1
Synonyms CPUB1 ,  CTD like phosphatase domain containing protein ,  CTD phosphatase like with ubiquitin domain 1,  FLJ25267,  MGC10067,  Nuclear proteasome inhibitor UBLCP1,  UBCP1,  Ubiquitin like domain containing CTD phosphatase 1,  Ubiquitin-like domain-containing CTD phospha
Swissprot
Cellular Localization Nucleus. Colocalizes with nuclear proteasomes.
Concentration 1.5 mg/mL
Buffer Phosphate buffered solution, pH 7.4, containing 0.05% stabilizer and 50% glycerol.
Purification Method Antigen affinity purification
Research Areas Cell Biology,  Epigenetics and Nuclear Signaling
Conjugation Unconjugated
Storage Store at -20°C Valid for 12 months. Avoid freeze / thaw cycles.
Shipping The product is shipped with ice pack,upon receipt,store it immediately at the temperature recommended.

 

Related Reagents

Applications Recommended Dilution
IHC 1:100-1:200

 

Background

Dephosphorylates 26S nuclear proteasomes, thereby decreasing their proteolytic activity. The dephosphorylation may prevent assembly of the core and regulatory particles (CP and RP) into mature 26S proteasome.