Warehouse Overstock Promotion |  Save 10%  on Premium Lab Supplies |  Shop Now

Menu

This product has been added to the cart.

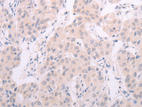
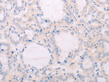
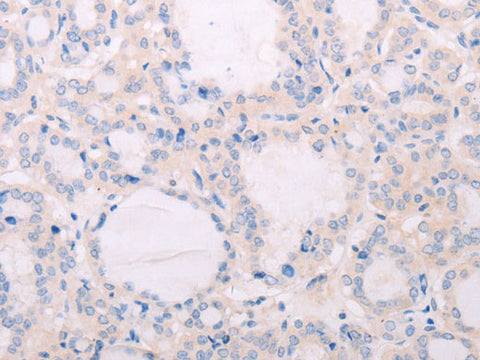
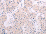
TSHR Polyclonal Antibody Store at -20°C

SKU: E-AB-10668-200

  • $ 33995
  • Save $ 6000


Request a Quote

TSHR Polyclonal Antibody Store at -20°C

 

SKU # E-AB-10668
Reactivity Human
Host Rabbit
Applications IHC

 

Product Details

Isotype IgG
Host Rabbit
Reactivity Human
Applications IHC
Clonality Polyclonal
Immunogen Recombinant protein of human TSHR
Abbre TSHR
Synonyms CHNG1,  LGR 3,  LGR3,  MGC75129,  Seven transmembrane helix receptor,  Thyroid adenoma hyperfunctioning,  Thyroid carcinoma with thyrotoxicosis,  Thyroid stimulating hormone receptor,  Thyroid-stimulating horm,  hTSHR I,  hTSHRI,  isoform 2
Swissprot
Cellular Localization Cell membrane.
Concentration 0.3 mg/mL
Buffer Phosphate buffered solution, pH 7.4, containing 0.05% stabilizer and 50% glycerol.
Purification Method Affinity purification
Research Areas Cancer,  Neuroscience,  Signal Transduction
Conjugation Unconjugated
Storage Store at -20°C Valid for 12 months. Avoid freeze / thaw cycles.
Shipping The product is shipped with ice pack,upon receipt,store it immediately at the temperature recommended.

 

Related Reagents

Applications Recommended Dilution
IHC 1:25-1:100

 

Background

The protein encoded by this gene is a membrane protein and a major controller of thyroid cell metabolism. The encoded protein is a receptor for thyrothropin and thyrostimulin, and its activity is mediated by adenylate cyclase. Defects in this gene are a cause of several types of hyperthyroidism. Three transcript variants encoding different isoforms have been found for this gene.