Warehouse Overstock Promotion |  Save 10%  on Premium Lab Supplies |  Shop Now

Menu

This product has been added to the cart.

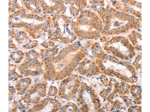
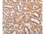
TRPV4 Polyclonal Antibody Store at -20°C

SKU: E-AB-10664-200

  • $ 33995
  • Save $ 6000


Request a Quote

TRPV4 Polyclonal Antibody Store at -20°C

 

SKU # E-AB-10664
Reactivity Human,  Mouse,  Rat
Host Rabbit
Applications IHC

 

Product Details

Isotype IgG
Host Rabbit
Reactivity Human,  Mouse,  Rat
Applications IHC
Clonality Polyclonal
Immunogen Recombinant protein of human TRPV4
Abbre TRPV4
Synonyms BCYM3,  CMT2C,  HMSN2C,  OSM9 like transient receptor potential channel 4,  OTRPC 4,  OTRPC4,  Osm-9-like TRP channel 4,  Osmosensitive transient receptor potential channel 4,  SMAL,  SPSMA,  SSQTL1,  Transient receptor potential cation channel subfami,  osm 9 like TRP channel 4
Swissprot
Cellular Localization Cell membrane and Cell membrane. Cell junction>adherens junction. Assembly of the putative homotetramer occurs primarily in the endoplasmic reticulum.
Concentration 0.2 mg/mL
Buffer Phosphate buffered solution, pH 7.4, containing 0.05% stabilizer and 50% glycerol.
Purification Method Affinity purification
Research Areas Cancer,  Neuroscience
Conjugation Unconjugated
Storage Store at -20°C Valid for 12 months. Avoid freeze / thaw cycles.
Shipping The product is shipped with ice pack,upon receipt,store it immediately at the temperature recommended.

 

Related Reagents

Applications Recommended Dilution
IHC 1:50-1:200

 

Background

This gene encodes a member of the OSM9-like transient receptor potential channel (OTRPC) subfamily in the transient receptor potential (TRP) superfamily of ion channels. The encoded protein is a Ca2+-permeable, nonselective cation channel that is thought to be involved in the regulation of systemic osmotic pressure. Mutations in this gene are the cause of spondylometaphyseal and metatropic dysplasia and hereditary motor and sensory neuropathy type IIC. Multiple transcript variants encoding different isoforms have been found for this gene.