Warehouse Overstock Promotion |  Save 10%  on Premium Lab Supplies |  Shop Now

Menu

This product has been added to the cart.

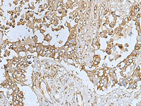
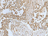
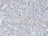
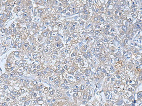
TREM1 Polyclonal Antibody Reactivity Human

SKU: E-AB-52226-200

  • $ 55995
  • Save $ 4000


Request a Quote

TREM1 Polyclonal Antibody Reactivity Human

 

SKU # E-AB-52226
Reactivity Human
Host Rabbit
Applications IHC

 

Product Details

Isotype IgG
Host Rabbit
Reactivity Human
Applications IHC
Clonality Polyclonal
Immunogen Fusion protein of human TREM1
Abbre TREM1
Synonyms CD354,  OTTMUSP00000018206,  TREM 1,  TREM-1,  TREM1,  Triggering receptor TREM 1,  Triggering receptor TREM1,  Triggering receptor expressed on monocytes 1,  Triggering receptor expressed on myeloid cells 1
Swissprot
Cellular Localization Secreted and Cell membrane.
Concentration 0.9 mg/mL
Buffer Phosphate buffered solution, pH 7.4, containing 0.05% stabilizer and 50% glycerol.
Purification Method Antigen affinity purification
Research Areas Immunology
Conjugation Unconjugated
Storage Store at -20°C Valid for 12 months. Avoid freeze / thaw cycles.
Shipping The product is shipped with ice pack, upon receipt, store it immediately at the temperature recommended.

 

Related Reagents

Applications Recommended Dilution
IHC 1:50-1:200

 

Background

This gene encodes a receptor belonging to the Ig superfamily that is expressed on myeloid cells. This protein amplifies neutrophil and monocyte-mediated inflammatory responses triggered by bacterial and fungal infections by stimulating release of pro-inflammatory chemokines and cytokines, as well as increased surface expression of cell activation markers. Alternatively spliced transcript variants encoding different isoforms have been noted for this gene.