Warehouse Overstock Promotion |  Save 10%  on Premium Lab Supplies |  Shop Now

Menu

This product has been added to the cart.

TRDMT1 Polyclonal Antibody Store at -20°C

SKU: E-AB-15601-200

  • $ 55995
  • Save $ 4000


Request a Quote

TRDMT1 Polyclonal Antibody Store at -20°C

 

SKU # E-AB-15601
Reactivity Human,  Mouse,  Rat
Host Rabbit
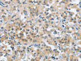
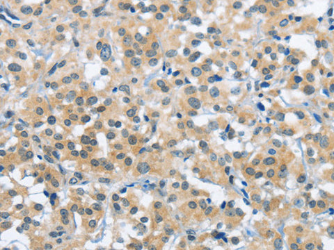
Applications IHC

 

Product Details

Isotype IgG
Host Rabbit
Reactivity Human,  Mouse,  Rat
Applications IHC
Clonality Polyclonal
Immunogen Synthetic peptide of human TRDMT1
Abbre TRDMT1
Synonyms DNA,  DNA (cytosine 5 ) methyltransferase 2,  DNA (cytosine 5) methyltransferase like protein 2,  DNA (cytosine-5)-methyltransferase-like protein 2,  DNA 5 cytosine methyltransferase,  DNA methyltransferase 2,  DNA methyltransferase homolog HsaIIP,  DmMT 2,  DmMT2,  dDNMT
Swissprot
Cellular Localization Nucleus.
Concentration 0.5 mg/mL
Buffer Phosphate buffered solution, pH 7.4, containing 0.05% stabilizer and 50% glycerol.
Purification Method Affinity purification
Research Areas Epigenetics and Nuclear Signaling
Conjugation Unconjugated
Storage Store at -20°C Valid for 12 months. Avoid freeze / thaw cycles.
Shipping The product is shipped with ice pack,upon receipt,store it immediately at the temperature recommended.

 

Related Reagents

Applications Recommended Dilution
IHC 1:50-1:200

 

Background

This gene encodes a protein responsible for the methylation of aspartic acid transfer RNA, specifically at the cytosine-38 residue in the anticodon loop. This enzyme also possesses residual DNA-(cytosine-C5) methyltransferase activity. While similar in sequence and structure to DNA cytosine methyltransferases, this gene is distinct and highly conserved in its function among taxa.