Warehouse Overstock Promotion |  Save 10%  on Premium Lab Supplies |  Shop Now

Menu

This product has been added to the cart.

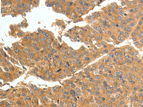
TNN Polyclonal Antibody Store at -20°C

SKU: E-AB-16087-200

  • $ 55995
  • Save $ 4000


Request a Quote

TNN Polyclonal Antibody Store at -20°C

 

SKU # E-AB-16087
Reactivity Human,  Mouse
Host Rabbit
Applications IHC

 

Product Details

Isotype IgG
Host Rabbit
Reactivity Human,  Mouse
Applications IHC
Clonality Polyclonal
Immunogen Synthetic peptide of human TNN
Abbre TNN
Synonyms TENN,  TN-N,  TNN,  Tenascin-N
Swissprot
Cellular Localization Secreted>extracellular space>extracellular matrix.
Concentration 0.4 mg/mL
Buffer Phosphate buffered solution, pH 7.4, containing 0.05% stabilizer and 50% glycerol.
Purification Method Affinity purification
Research Areas Signal Transduction
Conjugation Unconjugated
Storage Store at -20°C Valid for 12 months. Avoid freeze / thaw cycles.
Shipping The product is shipped with ice pack,upon receipt,store it immediately at the temperature recommended.

 

Related Reagents

Applications Recommended Dilution
IHC 1:50-1:200

 

Background

This protein is involved in neurite outgrowth and cell migration in hippocampal explants.It has three EGF-like domains, one fibrinogen C-terminal domain and nine fibronectin type III domains.Tenascins are extracellular matrix proteins present during the development of organisms as well as in pathological conditions.Tenascin-W, the fourth and last member of the tenascin family remains the least well-characterized one.