Warehouse Overstock Promotion |  Save 10%  on Premium Lab Supplies |  Shop Now

Menu

This product has been added to the cart.

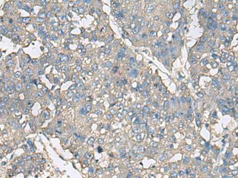
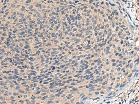
TNF Polyclonal Antibody Host Rabbit

SKU: E-AB-52065-200

  • $ 55995
  • Save $ 4000


Request a Quote

TNF Polyclonal Antibody Host Rabbit

 

SKU # E-AB-52065
Reactivity Human, Mouse, Rat
Host Rabbit
Applications IHC

 

Product Details

Isotype IgG
Host Rabbit
Reactivity Human, Mouse, Rat
Applications IHC
Clonality Polyclonal
Immunogen Synthetic peptide of human TNF
Abbre TNF
Synonyms APC1,  APC1 protein,  Cachectin,  DIF,  Differentiation inducing factor,  Macrophage cytotoxic factor,  TNF,  TNF superfamily,  TNF-a,  TNF-alpha,  TNFA,  TNFSF2,  Tnf,  Tumor n,  Tumor necrosis factor,  Tumor necrosis factor alpha,  macrophage derived,  member 2,  monocyte derived
Swissprot
Cellular Localization Secreted and Cell membrane.
Concentration 1.14 mg/mL
Buffer Phosphate buffered solution, pH 7.4, containing 0.05% stabilizer and 50% glycerol.
Purification Method Antigen affinity purification
Research Areas Cancer,  Cardiovascular,  Metabolism,  Immunology,  Signal Transduction
Conjugation Unconjugated
Storage Store at -20°C Valid for 12 months. Avoid freeze / thaw cycles.
Shipping The product is shipped with ice pack,upon receipt,store it immediately at the temperature recommended.

 

Related Reagents

Applications Recommended Dilution
IHC 1:30-1:150

 

Background

TNF, as also known as TNF-alpha, or cachectin, is a multifunctional proinflammatory cytokine that belongs to the tumor necrosis factor (TNF) superfamily. It is expressed as a 26 kDa membrane bound protein and is then cleaved by TNF-alpha converting enzyme (TACE) to release the soluble 17 kDa monomer, which forms homotrimers in circulation. It is produced chiefly by activated macrophages, although it can be produced by many other cell types such as CD4+ lymphocytes, NK cells, neutrophils, mast cells, eosinophils, and neurons. It can bind to, and thus functions through its receptors TNFRSF1A/TNFR1 and TNFRSF1B/TNFBR. This cytokine is involved in the regulation of a wide spectrum of biological processes including cell proliferation, differentiation, apoptosis, lipid metabolism, and coagulation. This cytokine has been implicated in a variety of diseases, including autoimmune diseases, insulin resistance, and cancer.