Warehouse Overstock Promotion |  Save 10%  on Premium Lab Supplies |  Shop Now

Menu

This product has been added to the cart.

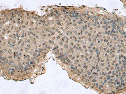
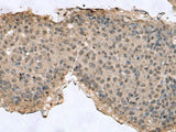
TMX3 Polyclonal Antibody Reactivity Human

SKU: E-AB-53074-200

  • $ 55995
  • Save $ 4000


Request a Quote

TMX3 Polyclonal Antibody Reactivity Human

 

SKU # E-AB-53074
Reactivity Human, Mouse
Host Rabbit
Applications IHC

 

Product Details

Isotype IgG
Host Rabbit
Reactivity Human, Mouse
Applications IHC
Clonality Polyclonal
Immunogen Fusion protein of human TMX3
Abbre TMX3
Synonyms member 13,  KIAA1830,  PDIA13,  Protein disulfide isomerase family A,  Protein disulfide-isomerase TMX3,  TMX3,  TXNDC10,  Thioredoxin domain containing 10,  Thioredoxin domain-containing protein 10,  Thioredoxin-related transmembrane protein 3
Swissprot
Cellular Localization Endoplasmic reticulum membrane.
Concentration 1.02 mg/mL
Buffer Phosphate buffered solution, pH 7.4, containing 0.05% stabilizer and 50% glycerol.
Purification Method Antigen affinity purification
Research Areas Cell Biology,  Metabolism,  Signal transduction
Conjugation Unconjugated
Storage Store at -20°C Valid for 12 months. Avoid freeze / thaw cycles.
Shipping The product is shipped with ice pack, upon receipt, store it immediately at the temperature recommended.

 

Related Reagents

Applications Recommended Dilution
IHC 1:50-1:100

 

Background

This gene encodes a member of the disulfide isomerase (PDI) family of endoplasmic reticulum (ER) proteins that catalyze protein folding and thiol-disulfide interchange reactions. The canonical protein encoded by this gene has an N-terminal ER-signal sequence, a catalytically active thioredoxin domain, one transmembrane domain and a C-terminal ER-retention sequence. This gene is expressed in many tissues but has its highest expression in heart and skeletal muscle. It is expressed in the retinal neuroepithelium and lens epithelium in the developing murine eye and haploinsufficiency of this gene in humans and zebrafish is associated with microphthalmia. Alternative splicing results in multiple transcript variants encoding distinct isoforms.