Warehouse Overstock Promotion |  Save 10%  on Premium Lab Supplies |  Shop Now

Menu

This product has been added to the cart.

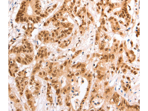
TAX1BP1 Polyclonal Antibody Store at -20°C

SKU: E-AB-10657-200

  • $ 33995
  • Save $ 6000


Request a Quote

TAX1BP1 Polyclonal Antibody Store at -20°C

 

SKU # E-AB-10657
Reactivity Human,  Mouse,  Rat
Host Rabbit
Applications IHC

 

Product Details

Isotype IgG
Host Rabbit
Reactivity Human,  Mouse,  Rat
Applications IHC
Clonality Polyclonal
Immunogen Recombinant protein of human TAX1BP1
Abbre TAX1BP1
Synonyms 1200003J11Rik,  1700069J21Rik,  AA930106,  Aa1076,  CALCOCO 3,  CALCOCO3,  D6Ertd404e,  D6Ertd772e,  Human T cell leukemia virus type 1-binding protein,  Liver regeneration-related protein LRRG004,  MGC94031,  PRO0105,  T6BP,  Tax1 (human T cell leukemia virus type I) binding prot
Swissprot
Cellular Localization Cytosol, Extracellular region or secreted, extracellular exosome.
Concentration 0.4 mg/mL
Buffer Phosphate buffered solution, pH 7.4, containing 0.05% stabilizer and 50% glycerol.
Purification Method Affinity purification
Research Areas Cancer,  Signal Transduction
Conjugation Unconjugated
Storage Store at -20°C Valid for 12 months. Avoid freeze / thaw cycles.
Shipping The product is shipped with ice pack,upon receipt,store it immediately at the temperature recommended.

 

Related Reagents

Applications Recommended Dilution
IHC 1:100-1:300

 

Background

This gene encodes a HTLV-1 tax1 binding protein. The encoded protein interacts with TNFAIP3, and inhibits TNF-induced apoptosis by mediating the TNFAIP3 anti-apoptotic activity. Degradation of this protein by caspase-3-like family proteins is associated with apoptosis induced by TNF. This protein may also have a role in the inhibition of inflammatory signaling pathways. Alternatively spliced transcript variants encoding different isoforms have been found for this gene.