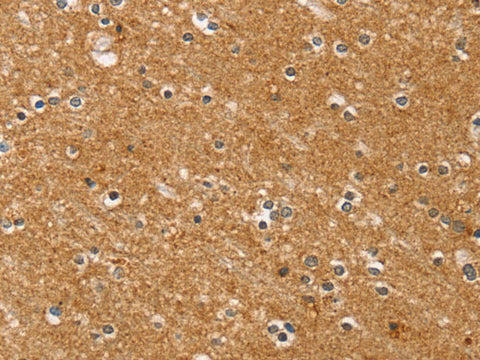
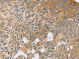
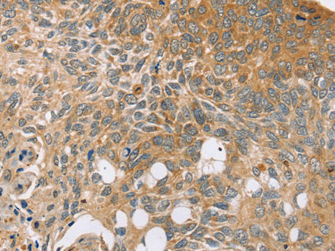
SYTL5 Polyclonal Antibody
Couldn't load pickup availability
Still have questions? Ask our experts!
SYTL5 Polyclonal Antibody
| SKU # | E-AB-11619 |
| Reactivity | Human, Mouse, Rat |
| Host | Rabbit |
| Applications | IHC |
Product Details
| Isotype | IgG |
| Host | Rabbit |
| Reactivity | Human, Mouse, Rat |
| Applications | IHC |
| Clonality | Polyclonal |
| Immunogen | Recombinant protein of human SYTL5 |
| Abbre | SYTL5 |
| Synonyms | SLP5, SYTL5, Synaptotagmin-like 5, Synaptotagmin-like protein 5, Sytl5 |
| Swissprot | |
| Cellular Localization | Membrane. |
| Concentration | 0.7 mg/mL |
| Buffer | Phosphate buffered solution, pH 7.4, containing 0.05% stabilizer and 50% glycerol. |
| Purification Method | Affinity purification |
| Research Areas | Signal Transduction |
| Conjugation | Unconjugated |
| Storage | Store at -20°C Valid for 12 months. Avoid freeze / thaw cycles. |
| Shipping | The product is shipped with ice pack,upon receipt,store it immediately at the temperature recommended. |
Related Reagents
| Applications | Recommended Dilution |
| IHC | 1:25-1:100 |
Background
The protein encoded by this gene belongs to the synaptotagmin-like (Slp) protein family, which contains a unique homology domain at the N-terminus, referred to as the Slp homology domain (SHD). The SHD functions as a binding site for Rab27A, which plays a role in protein transport. Expression of this gene is restricted to placenta and liver, suggesting that it might be involved in Rab27A-dependent membrane trafficking in specific tissues.