Warehouse Overstock Promotion |  Save 10%  on Premium Lab Supplies |  Shop Now

Menu

This product has been added to the cart.

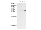
Sumo-Tag Polyclonal Antibody

SKU: E-AB-40553-200

  • $ 38095
  • Save $ 2000


Request a Quote

Sumo-Tag Polyclonal Antibody

 

SKU # E-AB-40553
Reactivity All
Host Rabbit
Applications WB

 

Product Details

Isotype IgG
Host Rabbit
Reactivity All
Applications WB
Clonality Polyclonal
Immunogen Recombinant Sumo protein
Abbre Sumo-Tag
Synonyms SUMO Tag,  Small Ubiquitin-like Modifier
Calculated MW 26 kDa
Observed MW 26 kDa
Concentration 1 mg/mL
Buffer PBS with 0.05% proclin 300, 1% protective protein and 50% glycerol,pH7.4
Purification Method Antigen Affinity Purification
Conjugation Unconjugated
Storage Store at -20°C Valid for 12 months. Avoid freeze / thaw cycles.
Shipping The product is shipped with ice pack, upon receipt, store it immediately at the temperature recommended.

 

Related Reagents

Applications Recommended Dilution
WB  1:500-1000

 

Background

SUMO is short for Small Ubiquitin-like Modifier, the 100 amino acid sequence, which is necessary for regulation of protein transport and is important for controlling transcription for eukaryotic cells. Sumo tag is most frequently used as N-end fus