Warehouse Overstock Promotion |  Save 10%  on Premium Lab Supplies |  Shop Now

Menu

This product has been added to the cart.

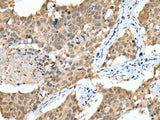
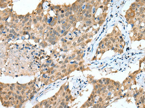
SPRY4 Polyclonal Antibody Reactivity Human

SKU: E-AB-52220-200

  • $ 55995
  • Save $ 4000


Request a Quote

SPRY4 Polyclonal Antibody Reactivity Human

 

SKU # E-AB-52220
Reactivity Human, Mouse
Host Rabbit
Applications WB, IHC

 

Product Details

Isotype IgG
Host Rabbit
Reactivity Human, Mouse
Applications WB, IHC
Clonality Polyclonal
Immunogen Full length fusion protein
Abbre SPRY4
Synonyms Protein sprouty homolog 4,  SPRY 4,  SPY4,  Sprouty homolog 4 ,  Spry-4,  Spry4,  sprouty homolog 4 (Drosophila)
Swissprot
Calculated MW 33 kDa
Observed MW Refer to figures
Cellular Localization Cytoplasm. Cell projection>ruffle membrane.
Concentration 0.8 mg/mL
Buffer Phosphate buffered solution, pH 7.4, containing 0.05% stabilizer and 50% glycerol.
Purification Method Antigen affinity purification
Research Areas Cancer,  Signal transduction
Conjugation Unconjugated
Storage Store at -20°C Valid for 12 months. Avoid freeze / thaw cycles.
Shipping The product is shipped with ice pack, upon receipt, store it immediately at the temperature recommended.

 

Related Reagents

Applications Recommended Dilution
WB 1:500-1:2000
IHC 1:25-1:100

 

Background

This gene encodes a member of a family of cysteine- and proline-rich proteins. The encoded protein is an inhibitor of the receptor-transduced mitogen-activated protein kinase (MAPK) signaling pathway. Activity of this protein impairs the formation of active GTP-RAS. Nucleotide variation in this gene has been associated with hypogonadotropic hypogonadism 17 with or without anosmia. Alternative splicing results in a multiple transcript variants.