Warehouse Overstock Promotion |  Save 10%  on Premium Lab Supplies |  Shop Now

Menu

This product has been added to the cart.

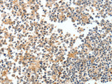
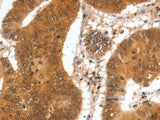
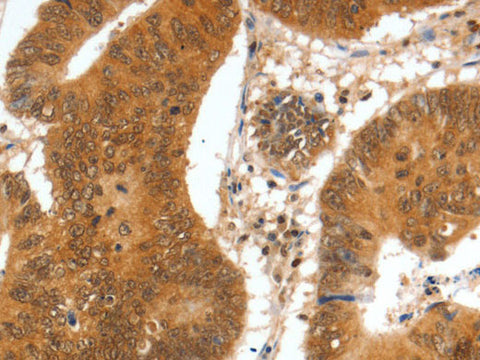
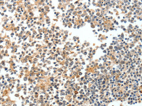
SPDEF Polyclonal Antibody

SKU: E-AB-10535-200

  • $ 33995
  • Save $ 6000


Request a Quote

SPDEF Polyclonal Antibody

 

SKU # E-AB-10535
Reactivity Human, Mouse
Host Rabbit
Applications IHC

 

Product Details

Isotype IgG
Host Rabbit
Reactivity Human,  Mouse
Applications IHC
Clonality Polyclonal
Immunogen Recombinant protein of human SPDEF
Abbre SPDEF
Synonyms PDEF,  PROSTATE EPITHELIUM SPECIFIC ETS TRANSCRIPTION FACTOR,  PSE,  Prostate derived Ets factor,  Prostate epithelium-specific Ets transcription factor,  Prostate specific Ets,  Prostate-derived Ets factor,  Prostate-specific Ets,  RP11-375E1__A.3,  SAM POINTED ,  bA375E1.3
Swissprot
Cellular Localization Nucleus.
Concentration 1 mg/mL
Buffer Phosphate buffered solution, pH 7.4, containing 0.05% stabilizer and 50% glycerol.
Purification Method Affinity purification
Research Areas Cancer,  Epigenetics and Nuclear Signaling
Conjugation Unconjugated
Storage Store at -20°C Valid for 12 months. Avoid freeze / thaw cycles.
Shipping The product is shipped with ice pack,upon receipt,store it immediately at the temperature recommended.

 

Related Reagents

Applications Recommended Dilution
IHC 1:50-1:200

 

Background

The protein encoded by this gene belongs to the ETS family of transcription factors. It is highly expressed in the prostate epithelial cells, and functions as an androgen-independent transactivator of prostate-specific antigen (PSA) promoter. Higher expression of this protein has also been reported in brain, breast, lung and ovarian tumors, compared to the corresponding normal tissues, and it shows better tumor-association than other cancer-associated molecules, making it a more suitable target for developing specific cancer therapies. Alternatively spliced transcript variants encoding different isoforms have been found for this gene.