Warehouse Overstock Promotion |  Save 10%  on Premium Lab Supplies |  Shop Now

Menu

This product has been added to the cart.

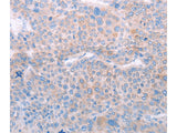
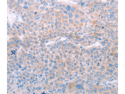
SPATA6 Polyclonal Antibody Store at -20°C

SKU: E-AB-10665-200

  • $ 33995
  • Save $ 6000


Request a Quote

SPATA6 Polyclonal Antibody Store at -20°C

 

SKU # E-AB-10665
Reactivity Human,  Mouse,  Rat
Host Rabbit
Applications IHC

 

Product Details

Isotype IgG
Host Rabbit
Reactivity Human,  Mouse,  Rat
Applications IHC
Clonality Polyclonal
Immunogen Recombinant protein of human SPATA6
Abbre SPATA6
Synonyms 1700062C23Rik,  AI790763,  FLJ10007,  Hash,  KRP,  Mash,  RP23 402I22.1,  SPAT6,  SPATA6,  SRF 1,  SRF1,  Spermatogenesis-associated protein 6,  spermatogenesis associated 6
Swissprot
Cellular Localization Secreted.
Concentration 0.4 mg/mL
Buffer Phosphate buffered solution, pH 7.4, containing 0.05% stabilizer and 50% glycerol.
Purification Method Affinity purification
Research Areas Developmental Biology,  Stem Cells
Conjugation Unconjugated
Storage Store at -20°C Valid for 12 months. Avoid freeze / thaw cycles.
Shipping The product is shipped with ice pack,upon receipt,store it immediately at the temperature recommended.

 

Related Reagents

Applications Recommended Dilution
IHC 1:25-1:100

 

Background

The Spata6 gene consists of 15 exons ranging in size between 40 and 596 bp. It may play a role in spermatid maturation or sperm function. The Spata6 gene was localized to chromosome 5, region q34-35 in the rat and to chromosome 1, region p32-35 in the human.