Warehouse Overstock Promotion |  Save 10%  on Premium Lab Supplies |  Shop Now

Menu

This product has been added to the cart.

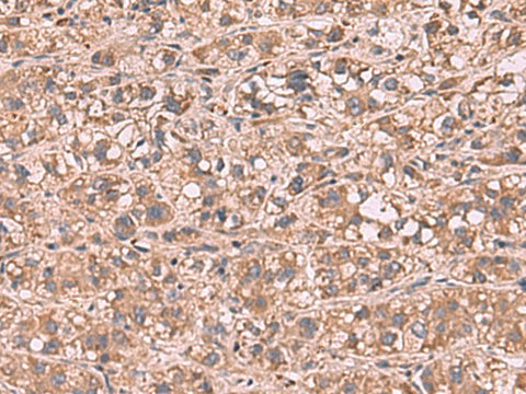
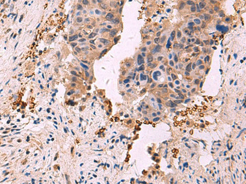
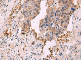
SHC4 Polyclonal Antibody Reactivity Human

SKU: E-AB-52995-200

  • $ 55995
  • Save $ 4000


Request a Quote

SHC4 Polyclonal Antibody Reactivity Human

 

SKU # E-AB-52995
Reactivity Human
Host Rabbit
Applications IHC

 

Product Details

Isotype IgG
Host Rabbit
Reactivity Human
Applications IHC
Clonality Polyclonal
Immunogen Fusion protein of human SHC4
Abbre SHC4
Synonyms MGC34023,  RaLP,  Rai like protein,  Rai-like protein,  SH2 domain protein C4,  SHC,  SHC (Src homology 2 domain containing) family member 4,  SHC 4,  SHC adaptor protein 4,  SHC family member 4 ,  SHC transforming protein 4,  SHC transforming protein D,  SHC-transforming ,  hShcD
Swissprot
Cellular Localization Cell junction>synapse>postsynaptic cell membrane. Colocalized with MUSK at the neuromuscular junction.
Concentration 1.56 mg/mL
Buffer Phosphate buffered solution, pH 7.4, containing 0.05% stabilizer and 50% glycerol.
Purification Method Antigen affinity purification
Research Areas Signal transduction
Conjugation Unconjugated
Storage Store at -20°C Valid for 12 months. Avoid freeze / thaw cycles.
Shipping The product is shipped with ice pack, upon receipt, store it immediately at the temperature recommended.

 

Related Reagents

Applications Recommended Dilution
IHC 1:90-1:450

 

Background

Activates both Ras-dependent and Ras-independent migratory pathways in melanomas. Contributes to the early phases of agrin-induced tyrosine phosphorylation of CHRNB1.