Warehouse Overstock Promotion |  Save 10%  on Premium Lab Supplies |  Shop Now

Menu

This product has been added to the cart.

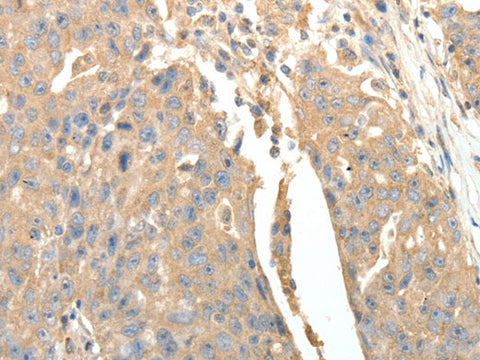
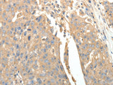
SFTPD Polyclonal Antibody Store at -20°C

SKU: E-AB-14367-200

  • $ 55995
  • Save $ 4000


Request a Quote

SFTPD Polyclonal Antibody Store at -20°C

 

SKU # E-AB-14367
Reactivity Human
Host Rabbit
Applications IHC

 

Product Details

Isotype IgG
Host Rabbit
Reactivity Human
Applications IHC
Clonality Polyclonal
Immunogen Recombinant protein of human SFTPD
Abbre SFTPD
Synonyms COLEC 7,  COLEC7,  Collectin-7,  Collectin7,  Lung surfactant protein D,  PSP D,  PSP-D,  PSP-D Surfactant protein D,  PSPD,  Pulmonary surfactant apoprotein,  Pulmonary surfactant associated protein D,  Pulmonary surfactant associated protein PSP-D,  Pulmonary surfactant-associ
Swissprot
Cellular Localization Secreted>extracellular space>extracellular matrix. Secreted>extracellular space>surface film.
Concentration 0.3 mg/mL
Buffer Phosphate buffered solution, pH 7.4, containing 0.05% stabilizer and 50% glycerol.
Purification Method Affinity purification
Research Areas Cancer,  Cell Biology,  Metabolism,  Immunology,  Microbiology,  Signal Transduction
Conjugation Unconjugated
Storage Store at -20°C Valid for 12 months. Avoid freeze / thaw cycles.
Shipping The product is shipped with ice pack,upon receipt,store it immediately at the temperature recommended.

 

Related Reagents

Applications Recommended Dilution
IHC 1:25-1:100

 

Background

Surfactant, pulmonary-associated protein D, also known as SFTPD or SP-D, is a protein which in humans is encoded by the SFTPD gene.SFTPD is an innate immune system collectin.Surfactant protein D has been shown to interact with DMBT1.Contributes to the lung's defense against inhaled microorganisms.May participate in the extracellular reorganization or turnover of pulmonary surfactant.Binds strongly maltose residues and to a lesser extent other alpha-glucosyl moieties.