Warehouse Overstock Promotion |  Save 10%  on Premium Lab Supplies |  Shop Now

Menu

This product has been added to the cart.

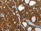
SELENOM Polyclonal Antibody Reactivity Human, Mouse

SKU: E-AB-10586-200

  • $ 33995
  • Save $ 6000


Request a Quote

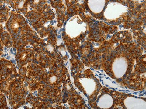
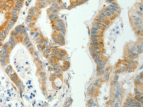
SELENOM Polyclonal Antibody Reactivity Human, Mouse

 

SKU # E-AB-10586
Reactivity Human, Mouse
Host Rabbit
Applications IHC

 

Product Details

Isotype IgG
Host Rabbit
Reactivity Human,  Mouse,  Rat
Applications WB,  IHC
Clonality Polyclonal
Immunogen Recombinant protein of human RPLP0
Abbre RPLP0
Synonyms 36B4,  60S acidic ribosomal protein P0,  60S ribosomal protein L10E,  Acidic ribosomal phosphoprotein P0,  Arbp,  L10E,  LP0,  MGC107165,  MGC107166,  MGC111226,  MGC88175,  OTTMUSP00000015585,  P0,  PRLP0,  Ribosomal phosphoprotein,  Ribosomal protein,  Ribosomal protein P0,  acidic,  l
Swissprot
Calculated MW 34 kDa
Cellular Localization Nucleus. Cytoplasm. Localized in cytoplasmic mRNP granules containing untranslated mRNAs.
Concentration 0.4 mg/mL
Buffer Phosphate buffered solution, pH 7.4, containing 0.05% stabilizer and 50% glycerol.
Purification Method Affinity purification
Research Areas Cancer,  Epigenetics and Nuclear Signaling
Conjugation Unconjugated
Storage Store at -20°C Valid for 12 months. Avoid freeze / thaw cycles.
Shipping The product is shipped with ice pack,upon receipt,store it immediately at the temperature recommended.

 

Related Reagents

Applications Recommended Dilution
IHC 1:50-1:200

 

Background

This gene encodes a selenoprotein, which contains a selenocysteine (Sec) residue at its active site.The selenocysteine is encoded by the UGA codon that normally signals translation termination.The 3' UTR of selenoprotein genes have a common stem-loop structure, the sec insertion sequence (SECIS), that is necessary for the recognition of UGA as a Sec codon rather than as a stop signal.This gene is expressed in a variety of tissues, and the protein is localized to the perinuclear structures.