Warehouse Overstock Promotion |  Save 10%  on Premium Lab Supplies |  Shop Now

Menu

This product has been added to the cart.

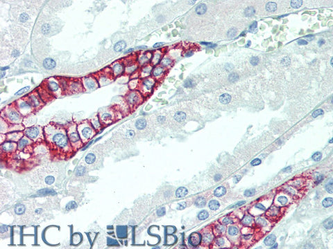
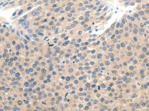
SCN10A Polyclonal Antibody

SKU: E-AB-12862-200

  • $ 55995
  • Save $ 4000


Request a Quote

SCN10A Polyclonal Antibody

 

SKU # E-AB-12862
Reactivity Human
Host Rabbit
Applications IHC

 

Product Details

Isotype IgG
Host Rabbit
Reactivity Human
Applications IHC
Clonality Polyclonal
Immunogen Synthetic peptide of human SCN10A
Abbre SCN10A
Synonyms PN3,  Peripheral nerve sodium channel 3,  Pn3 (gene name),  SCN10A,  SCNAA,  SNS,  Sensory neuron sodium channel,  Sns (gene name),  Sodium channel protein type 10 subunit alpha,  Sodium channel protein type X alpha subunit,  Sodium channel protein type X subunit a,  hPN3,  mPN3
Swissprot
Cellular Localization Cell membrane. It can be translocated to the cell membrane through association with S100A10.
Concentration 0.1 mg/mL
Buffer Phosphate buffered solution, pH 7.4, containing 0.05% stabilizer and 50% glycerol.
Purification Method Affinity purification
Research Areas Neuroscience
Conjugation Unconjugated
Storage Store at -20°C Valid for 12 months. Avoid freeze / thaw cycles.
Shipping The product is shipped with ice pack,upon receipt,store it immediately at the temperature recommended.

 

Related Reagents

Applications Recommended Dilution
IHC 1:25-1:100

 

Background

The protein encoded by this gene is a tetrodotoxin-resistant voltage-gated sodium channel alpha subunit. The properties of the channel formed by the encoded transmembrane protein can be altered by interaction with different beta subunits. This protein may be involved in the onset of pain associated with peripheral neuropathy.