Warehouse Overstock Promotion |  Save 10%  on Premium Lab Supplies |  Shop Now

Menu

This product has been added to the cart.

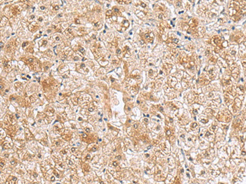
RTKN2 Polyclonal Antibody Reactivity Human

SKU: E-AB-52895-200

  • $ 55995
  • Save $ 4000


Request a Quote

RTKN2 Polyclonal Antibody Reactivity Human

 

SKU # E-AB-52895
Reactivity Human
Host Rabbit
Applications IHC

 

Product Details

Isotype IgG
Host Rabbit
Reactivity Human
Applications IHC
Clonality Polyclonal
Immunogen Fusion protein of human RTKN2
Abbre RTKN2
Synonyms DKFZp686J10120,  OTTHUMP00000035699,  PH domain-containing family K member 1,  PLEKHK1,  Pleckstrin homology domain-containing family K member 1,  RTKN2,  Rhotekin-2,  Rtkn2,  bA531F24
Swissprot
Concentration 1.2 mg/mL
Buffer Phosphate buffered solution, pH 7.4, containing 0.05% stabilizer and 50% glycerol.
Purification Method Antigen affinity purification
Research Areas Cell Biology,  Developmental biology
Conjugation Unconjugated
Storage Store at -20°C Valid for 12 months. Avoid freeze / thaw cycles.
Shipping The product is shipped with ice pack, upon receipt, store it immediately at the temperature recommended.

 

Related Reagents

Applications Recommended Dilution
IHC 1:50-1:300

 

Background

May play an important role in lymphopoiesis.