Warehouse Overstock Promotion |  Save 10%  on Premium Lab Supplies |  Shop Now

Menu

This product has been added to the cart.

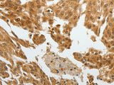
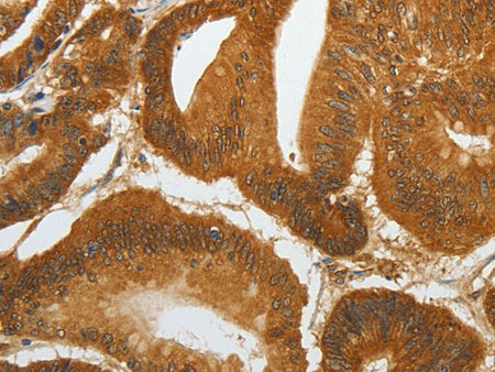
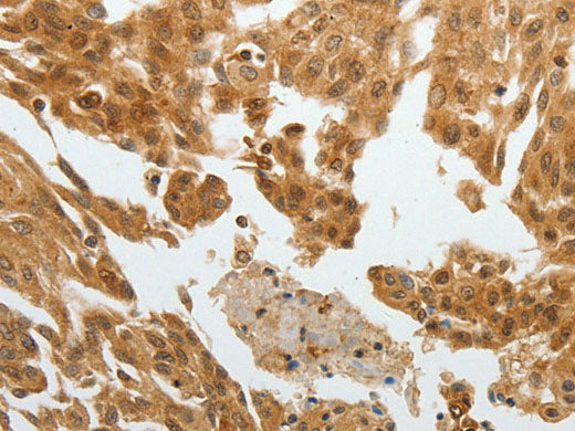
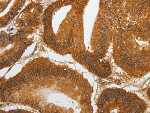
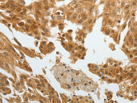
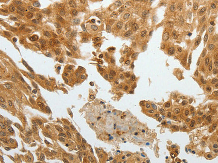
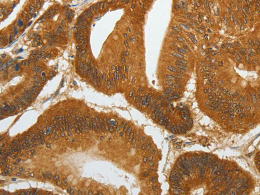
RETNLB Polyclonal Antibody Reactivity Human

SKU: E-AB-10579-200

  • $ 33995
  • Save $ 6000


Request a Quote

RETNLB Polyclonal Antibody Reactivity Human

 

SKU # E-AB-10579
Reactivity Human
Host Rabbit
Applications IHC

 

Product Details

Isotype IgG
Host Rabbit
Reactivity Human
Applications IHC
Clonality Polyclonal
Immunogen Recombinant protein of human RETNLB
Abbre RETNLB
Synonyms C/EBP epsilon regulated myeloid specific secreted cysteine rich protein precursor 2,  CCGR,  Colon and small intestine specific cysteine rich protein,  Colon and small intestine-specific cysteine-rich protein,  Colon carcinoma,  Colon carcinoma related gene protein
Swissprot
Cellular Localization Secreted.
Concentration 0.3 mg/mL
Buffer Phosphate buffered solution, pH 7.4, containing 0.05% stabilizer and 50% glycerol.
Purification Method Affinity purification
Research Areas Cancer,  Signal Transduction
Conjugation Unconjugated
Storage Store at -20°C Valid for 12 months. Avoid freeze / thaw cycles.
Shipping The product is shipped with ice pack,upon receipt,store it immediately at the temperature recommended.

 

Related Reagents

Applications Recommended Dilution
IHC 1:50-1:200

 

Background

Resistin-like betais aproteinthat in humans is encoded by theRETNLBgene. An infusion of either resistin or RELMB in rats rapidly induced severe hepatic but not peripheral insulin resistance. Increases in circulating resistin or RELMB levels markedly stimulated hepatic glucose production despite the presence of fixed physiologic insulin levels. This enhanced rate of glucose output was due to increased flux through glucose-6-phosphatase. The results supported the notion that a novel family of fat- and gut-derived circulating proteins modulates hepatic insulin action.