Warehouse Overstock Promotion |  Save 10%  on Premium Lab Supplies |  Shop Now

Menu

This product has been added to the cart.

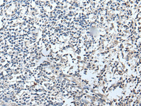
RERG Polyclonal Antibody Reactivity Mouse

SKU: E-AB-52209-200

  • $ 55995
  • Save $ 4000


Request a Quote

RERG Polyclonal Antibody Reactivity Mouse

 

SKU # E-AB-52209
Reactivity Human, Mouse
Host Rabbit
Applications IHC

 

Product Details

Isotype IgG
Host Rabbit
Reactivity Human, Mouse
Applications IHC
Clonality Polyclonal
Immunogen Full length fusion protein
Abbre RERG
Synonyms MGC15754,  RAS like estrogen regulated growth inhibitor,  RERG_HUMAN,  Ras related and estrogen regulated growth inhibitor,  Rerg,  Weakly similar to N ras protein
Swissprot
Cellular Localization Cytoplasm
Concentration 0.7 mg/mL
Buffer Phosphate buffered solution, pH 7.4, containing 0.05% stabilizer and 50% glycerol.
Purification Method Antigen affinity purification
Research Areas Signal Transduction,  Cancer
Conjugation Unconjugated
Storage Store at -20°C Valid for 12 months. Avoid freeze / thaw cycles.
Shipping The product is shipped with ice pack, upon receipt, store it immediately at the temperature recommended.

 

Related Reagents

Applications Recommended Dilution
IHC 1:30-1:150

 

Background

RERG, a member of the RAS superfamily of GTPases, inhibits cell proliferation and tumor formation