Warehouse Overstock Promotion |  Save 10%  on Premium Lab Supplies |  Shop Now

Menu

This product has been added to the cart.

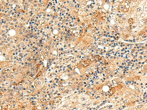
REG1B Polyclonal Antibody Reactivity Human

SKU: E-AB-52897-200

  • $ 55995
  • Save $ 4000


Request a Quote

REG1B Polyclonal Antibody Reactivity Human

 

SKU # E-AB-52897
Reactivity Human
Host Rabbit
Applications WB, IHC

 

Product Details

Isotype IgG
Host Rabbit
Reactivity Human
Applications WB, IHC
Clonality Polyclonal
Immunogen Fusion protein of human REG1B
Abbre REG1B
Synonyms Lithostathine 1 beta,  Lithostathine 1 beta precursor,  Lithostathine-1-beta,  PSP 2,  PSP-2,  PSPS2,  Pancreatic stone protein 2,  REG 1 beta,  REG-1-beta,  REG1B,  REG1B_HUMAN,  Regenerati,  Regenerating islet derived 1 beta (pancreatic stone protein pancreatic thread protein)
Swissprot
Calculated MW 19 kDa
Observed MW Refer to figures
Cellular Localization Secreted
Concentration 1.08 mg/mL
Buffer Phosphate buffered solution, pH 7.4, containing 0.05% stabilizer and 50% glycerol.
Purification Method Antigen affinity purification
Research Areas Cell Biology
Conjugation Unconjugated
Storage Store at -20°C Valid for 12 months. Avoid freeze / thaw cycles.
Shipping The product is shipped with ice pack, upon receipt, store it immediately at the temperature recommended.

 

Related Reagents

Applications Recommended Dilution
WB 1:1000-1:5000
IHC 1:50-1:300

 

Background

Might act as an inhibitor of spontaneous calcium carbonate precipitation. May be associated with neuronal sprouting in brain, and with brain and pancreas regeneration.