Warehouse Overstock Promotion |  Save 10%  on Premium Lab Supplies |  Shop Now

Menu

This product has been added to the cart.

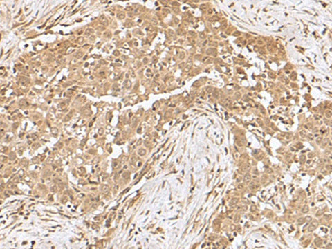
RCHY1 Polyclonal Antibody Reactivity Human

SKU: E-AB-52167-200

  • $ 55995
  • Save $ 4000


Request a Quote

RCHY1 Polyclonal Antibody Reactivity Human

 

SKU # E-AB-52167
Reactivity Human, Mouse
Host Rabbit
Applications WB, IHC

 

Product Details

Isotype IgG
Host Rabbit
Reactivity Human, Mouse
Applications WB, IHC
Clonality Polyclonal
Immunogen Fusion protein of human RCHY1
Abbre RCHY1
Synonyms ARNIP,  Androgen receptor N terminal interacting protein,  Androgen receptor N-terminal-interacting protein,  CH-rich-interacting match with PLAG1,  CHIMP,  E3 ubiquitin-protein ligase Pirh2,  hARNIP,  hPirh2,  p53 induced protein with a RING H2 domain,  p53-induced RING-H
Swissprot
Calculated MW 30 kDa
Observed MW Refer to figures
Cellular Localization Nucleus. Nucleus speckle. Cytoplasm.
Concentration 0.84 mg/mL
Buffer Phosphate buffered solution, pH 7.4, containing 0.05% stabilizer and 50% glycerol.
Purification Method Antigen affinity purification
Research Areas Cancer,  Cell Biology
Conjugation Unconjugated
Storage Store at -20°C Valid for 12 months. Avoid freeze / thaw cycles.
Shipping The product is shipped with ice pack, upon receipt, store it immediately at the temperature recommended.

 

Related Reagents

Applications Recommended Dilution
WB 1:500-1:2000
IHC 1:50-1:200

 

Background

The protein encoded by this gene has ubiquitin ligase activity. It mediates E3-dependent ubiquitination and proteasomal degradation of target proteins, including TP53, HDAC1 and CDKN1B, thus regulating their levels and cell cycle progression. Alternatively spliced transcript variants encoding different isoforms have been described for this gene.