Warehouse Overstock Promotion |  Save 10%  on Premium Lab Supplies |  Shop Now

Menu

This product has been added to the cart.

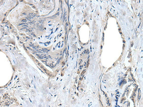
RASSF8 Polyclonal Antibody

SKU: E-AB-52206-200

  • $ 55995
  • Save $ 4000


Request a Quote

RASSF8 Polyclonal Antibody

 

SKU # E-AB-52206
Reactivity Human, Mouse
Host Rabbit
Applications IHC

 

Product Details

Isotype IgG
Host Rabbit
Reactivity Human, Mouse
Applications IHC
Clonality Polyclonal
Immunogen Fusion protein of human RASSF8
Abbre RASSF8
Synonyms C12orf2,  Carcinoma associated HOJ 1,  Carcinoma associated protein HOJ 1,  Carcinoma-associated protein HOJ-1,  HoJ 1,  HoJ1,  Ras association (RalGDS/AF 6) domain family (N terminal) member 8,  Ras association (RalGDS/AF 6) domain family 8,  Ras association domain cont
Swissprot
Concentration 0.7 mg/mL
Buffer Phosphate buffered solution, pH 7.4, containing 0.05% stabilizer and 50% glycerol.
Purification Method Antigen affinity purification
Research Areas Cancer,  Signal Transduction
Conjugation Unconjugated
Storage Store at -20°C Valid for 12 months. Avoid freeze / thaw cycles.
Shipping The product is shipped with ice pack, upon receipt, store it immediately at the temperature recommended.

 

Related Reagents

Applications Recommended Dilution
IHC 1:40-1:250

 

Background

This gene encodes a member of the Ras-assocation domain family (RASSF) of tumor suppressor proteins.This gene is essential for maintaining adherens junction function in epithelial cells and has a role in epithelial cell migration.It is a lung tumor suppressor gene candidate.A chromosomal translocation t(12;22)(p11.2;q13.3) leading to the fusion of this gene and the FBLN1 gene is found in a complex type of synpolydactyly.Multiple alternatively spliced transcript variants encoding different isoforms have been found for this gene.