Warehouse Overstock Promotion |  Save 10%  on Premium Lab Supplies |  Shop Now

Menu

This product has been added to the cart.

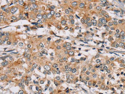
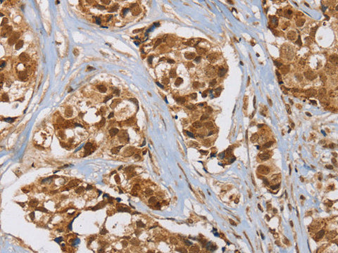
RAB24 Polyclonal Antibody Store at -20°C

SKU: E-AB-13552-200

  • $ 55995
  • Save $ 4000


Request a Quote

RAB24 Polyclonal Antibody Store at -20°C

 

SKU # E-AB-13552
Reactivity Human, Mouse
Host Rabbit
Applications IHC

 

Product Details

Isotype IgG
Host Rabbit
Reactivity Human, Mouse
Applications IHC
Clonality Polyclonal
Immunogen Synthetic peptide of human RAB24
Abbre RAB24
Synonyms OTTHUMP00000161435,  OTTHUMP00000161437,  OTTHUMP00000223588,  RAB24,  Rab 24,  Ras related protein Rab 24,  Ras-related protein Rab-24,  member RAS oncogene family
Swissprot
Cellular Localization Cytoplasm>cytosol. Membrane. Only about 20-25% is recovered in the particulate fraction.
Concentration 0.4 mg/mL
Buffer Phosphate buffered solution, pH 7.4, containing 0.05% stabilizer and 50% glycerol.
Purification Method Affinity purification
Research Areas Cancer,  Cardiovascular,  Metabolism,  Signal Transduction
Conjugation Unconjugated
Storage Store at -20°C Valid for 12 months. Avoid freeze / thaw cycles.
Shipping The product is shipped with ice pack, upon receipt, store it immediately at the temperature recommended.

 

Related Reagents

Applications Recommended Dilution
IHC 1:50-1:200

 

Background

RAB24 is a small GTPase of the Rab subfamily of Ras-related proteins that regulate intracellular protein trafficking. May be involved in autophagy-related processes. Unlike other Rab family members, does not interact with GDP dissociation inhibitors (GDIs), including ARHGDIA and ARHGDIB. Interacts with ZFYVE20.