Warehouse Overstock Promotion |  Save 10%  on Premium Lab Supplies |  Shop Now

Menu

This product has been added to the cart.

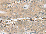
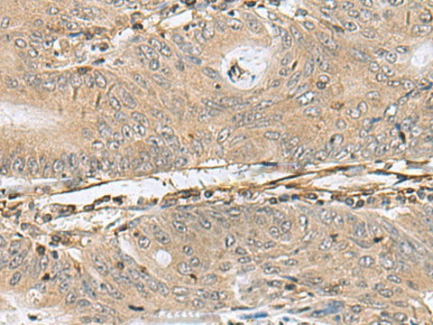
PTPRS Polyclonal Antibody Reactivity Human

SKU: E-AB-53029-200

  • $ 55995
  • Save $ 4000


Request a Quote

PTPRS Polyclonal Antibody Reactivity Human

 

SKU # E-AB-53029
Reactivity Human, Mouse, Rat
Host Rabbit
Applications IHC

 

Product Details

Isotype IgG
Host Rabbit
Reactivity Human, Mouse, Rat
Applications IHC
Clonality Polyclonal
Immunogen Fusion protein of human PTPRS
Abbre PTPRS
Synonyms PTPRS,  PTPSIGMA ,  Protein tyrosine phosphatase PTPsigma ,  Protein tyrosine phosphatase receptor type S,  Protein tyrosine phosphatase receptor type sigma,  Ptprs,  R PTP sigma,  R-PTP-S,  R-PTP-sigma,  Receptor-type tyrosine-,  Receptor-type tyrosine-protein phosphatase S
Swissprot
Cellular Localization Membrane.
Concentration 0.96 mg/mL
Buffer Phosphate buffered solution, pH 7.4, containing 0.05% stabilizer and 50% glycerol.
Purification Method Antigen affinity purification
Research Areas Neuroscience,  Signal transduction
Conjugation Unconjugated
Storage Store at -20°C Valid for 12 months. Avoid freeze / thaw cycles.
Shipping The product is shipped with ice pack, upon receipt, store it immediately at the temperature recommended.

 

Related Reagents

Applications Recommended Dilution
IHC 1:100-1:300

 

Background

The protein encoded by this gene is a member of the protein tyrosine phosphatase (PTP) family. PTPs are known to be signaling molecules that regulate a variety of cellular processes including cell growth, differentiation, mitotic cycle, and oncogenic transformation. This PTP contains an extracellular region, a single transmembrane segment and two tandem intracytoplasmic catalytic domains, and thus represents a receptor-type PTP. The extracellular region of this protein is composed of multiple Ig-like and fibronectin type III-like domains. Studies of the similar gene in mice suggested that this PTP may be involved in cell-cell interaction, primary axonogenesis, and axon guidance during embryogenesis. This PTP has been also implicated in the molecular control of adult nerve repair. Four alternatively spliced transcript variants, which encode distinct proteins, have been reported.