Warehouse Overstock Promotion |  Save 10%  on Premium Lab Supplies |  Shop Now

Menu

This product has been added to the cart.

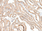
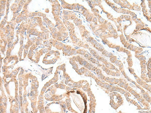
PLGLB2 Polyclonal Antibody Reactivity Human

SKU: E-AB-52674-200

  • $ 55995
  • Save $ 4000


Request a Quote

PLGLB2 Polyclonal Antibody Reactivity Human

 

SKU # E-AB-52674
Reactivity Human
Host Rabbit
Applications IHC

 

Product Details

Isotype IgG
Host Rabbit
Reactivity Human
Applications IHC
Clonality Polyclonal
Immunogen Fusion protein of human PLGLB2
Abbre PLGLB2
Synonyms PLGB,  PLGLB2,  Plasminogen-related protein B
Swissprot
Cellular Localization Secreted.
Concentration 0.6 mg/mL
Buffer Phosphate buffered solution, pH 7.4, containing 0.05% stabilizer and 50% glycerol.
Purification Method Antigen affinity purification
Research Areas Immunology,  Signal transduction
Conjugation Unconjugated
Storage Store at -20°C Valid for 12 months. Avoid freeze / thaw cycles.
Shipping The product is shipped with ice pack, upon receipt, store it immediately at the temperature recommended.

 

Related Reagents

Applications Recommended Dilution
IHC 1:30-1:150

 

Background

Cleavage of the serine proteinase plasminogen to form plasmin is the central event in the dissolution of blood clots by the fibrinolytic system. Within the fibrinolytic cascade, the serine proteinases urokinase-type plasminogen activator (uPA) and tissue-type plasminogen activator (tPA) activate the proenzyme plasminogen by cleaving plasminogen to form the fibrinolytically active enzyme plasmin. PLGLB2 (plasminogen-like B2), also known as PLGP1, is a 96 amino acid protein that resembles the N-terminal plasminogen activation peptide, which is released from plasminogen during conversion to plasmin. PLGLB2 may bind to lysine binding sites present in the kringle structures of plasminogen, an event that interfers with the binding of fibrin or α-2 antiplasmin to plasminogen and may result in the localization of activity at sites necessary for extracellular matrix destruction.