Warehouse Overstock Promotion |  Save 10%  on Premium Lab Supplies |  Shop Now

Menu

This product has been added to the cart.

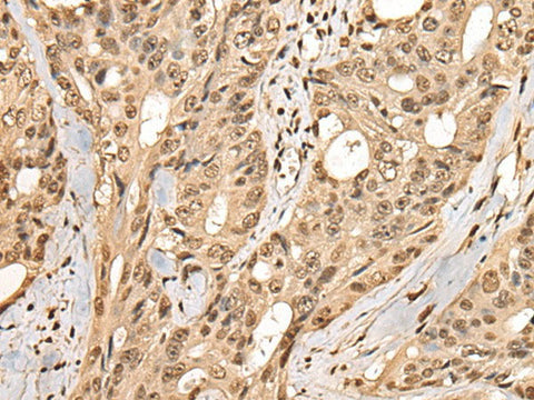
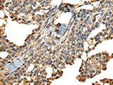
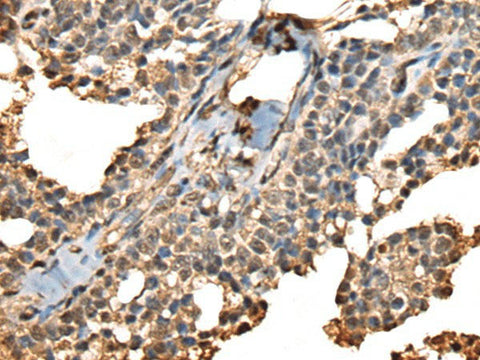
PHF21A Polyclonal Antibody Reactivity Mouse

SKU: E-AB-52472-200

  • $ 55995
  • Save $ 4000


Request a Quote

PHF21A Polyclonal Antibody Reactivity Mouse

 

SKU # E-AB-52472
Reactivity Human, Mouse
Host Rabbit
Applications IHC

 

Product Details

Isotype IgG
Host Rabbit
Reactivity Human, Mouse
Applications IHC
Clonality Polyclonal
Immunogen Fusion protein of human PHF21A
Abbre PHF21A
Synonyms BHC80a,  BM-006,  BRAF35-HDAC complex protein BHC80,  BRAF35/HDAC2 complex (80 kDa),  KIAA1696,  PF21A,  PHD finger protein 21A,  PHF21A
Swissprot
Cellular Localization Nucleus.
Concentration 0.7 mg/mL
Buffer Phosphate buffered solution, pH 7.4, containing 0.05% stabilizer and 50% glycerol.
Purification Method Antigen affinity purification
Research Areas Epigenetics and Nuclear Signaling,  Neuroscience
Conjugation Unconjugated
Storage Store at -20°C Valid for 12 months. Avoid freeze / thaw cycles.
Shipping The product is shipped with ice pack, upon receipt, store it immediately at the temperature recommended.

 

Related Reagents

Applications Recommended Dilution
IHC 1:40-1:200

 

Background

Zinc-finger proteins contain DNA-binding domains and have a wide variety of functions, most of which encompass some form of transcriptional activation or repression. PHF21A (PHD finger protein 21A), also known as BRAF35-HDAC complex protein BHC80, is a 680 amino acid nuclear protein that contains one PHD-type zinc finger and one A.T hook DNA-binding domain, suggesting involvement in transcriptional regulation events. PHF21A is a component of the BHC complex, which is responsible for repressing transcription of neuron-specific genes in non-neuronal cells. The BHC complex acts as a chromatin modifier that deacetylates and demethylates specific sites on histones. PHF21A may act as a scaffold within the BHC complex. Predominantly expressed in brain, three isoforms of PHF21A exist as a result of alternative splicing events.