Warehouse Overstock Promotion |  Save 10%  on Premium Lab Supplies |  Shop Now

Menu

This product has been added to the cart.

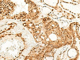
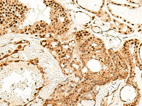
PDCD4 Polyclonal Antibody Reactivity Human

SKU: E-AB-52165-200

  • $ 55995
  • Save $ 4000


Request a Quote

PDCD4 Polyclonal Antibody Reactivity Human

 

SKU # E-AB-52165
Reactivity Human, Mouse, Rat
Host Rabbit
Applications WB, IHC

 

Product Details

Isotype IgG
Host Rabbit
Reactivity Human, Mouse, Rat
Applications WB, IHC
Clonality Polyclonal
Immunogen Fusion protein of human PDCD4
Abbre PDCD4
Synonyms Death up-regulated gene protein,  Dug,  H731,  MGC33046,  MGC33047,  Ma3,  Neoplastic transformation inhibitor,  Neoplastic transformation inhibitor protein,  Nuclear antigen H731,  Nuclear antigen H731 like,  Nuclear antigen H731 like protein,  Nuclear antigen H731-like,  PDCD
Swissprot
Calculated MW 52 kDa
Observed MW Refer to figures
Cellular Localization Nucleus. Cytoplasm. Shuttles between the nucleus and cytoplasm. Predominantly nuclear under normal growth conditions, and when phosphorylated at Ser-457. Exported from the nucleus in the absence of serum.
Concentration 0.6 mg/mL
Buffer Phosphate buffered solution, pH 7.4, containing 0.05% stabilizer and 50% glycerol.
Purification Method Antigen affinity purification
Research Areas Cancer,  Cell Biology,  Epigenetics and Nuclear Signaling
Conjugation Unconjugated
Storage Store at -20°C Valid for 12 months. Avoid freeze / thaw cycles.
Shipping The product is shipped with ice pack, upon receipt, store it immediately at the temperature recommended.

 

Related Reagents

Applications Recommended Dilution
WB 1:500-1:2000
IHC 1:40-1:200

 

Background

Programmed cell death 4 (Pdcd4) is a novel tumor suppressor that inhibits translation,progression and invasion. It was first identified as being differnetially upregulated during apoptosis. Pdcd4 interferes with the activity of the eukaryotic initiation factor (eIF) 4A by displacing the scaffold protein eIF4G from its binding to the RNA helicase eIF4A.