Warehouse Overstock Promotion |  Save 10%  on Premium Lab Supplies |  Shop Now

Menu

This product has been added to the cart.

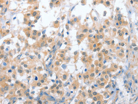
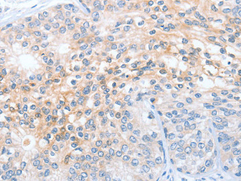
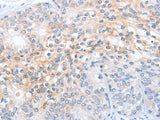
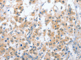
OX2R Polyclonal Antibody Store at -20°C

SKU: E-AB-11049-200

  • $ 33995
  • Save $ 6000


Request a Quote

OX2R Polyclonal Antibody Store at -20°C

 

SKU # E-AB-11049
Reactivity Human
Host Rabbit
Applications IHC

 

Product Details

Isotype IgG
Host Rabbit
Reactivity Human
Applications IHC
Clonality Polyclonal
Immunogen Recombinant protein of human CD200R1
Abbre CD200R1
Synonyms CD 200R,  CD200 cell surface glycoprotein receptor,  CD200 receptor 1,  CRTR 2,  CRTR2,  Cd200r1,  Cell surface glycoprotein CD200 receptor 1,  Cell surface glycoprotein OX2 receptor,  Cell surface glycoprotein OX2 receptor 1,  HCRT,  cell surface glycoprotein receptor CD200
Swissprot
Cellular Localization Secreted and Cell membrane.
Concentration 0.8 mg/mL
Buffer Phosphate buffered solution, pH 7.4, containing 0.05% stabilizer and 50% glycerol.
Purification Method Affinity purification
Research Areas Cardiovascular,  Immunology,  Microbiology
Conjugation Unconjugated
Storage Store at -20°C Valid for 12 months. Avoid freeze / thaw cycles.
Shipping The product is shipped with ice pack,upon receipt,store it immediately at the temperature recommended.

 

Related Reagents

Applications Recommended Dilution
IHC 1:50-1:200

 

Background

This gene encodes a receptor for the OX-2 membrane glycoprotein. Both the receptor and substrate are cell surface glycoproteins containing two immunoglobulin-like domains. This receptor is restricted to the surfaces of myeloid lineage cells and the receptor-substrate interaction may function as a myeloid downregulatory signal. Mouse studies of a related gene suggest that this interaction may control myeloid function in a tissue-specific manner. Alternative splicing of this gene results in multiple transcript variants.