Warehouse Overstock Promotion |  Save 10%  on Premium Lab Supplies |  Shop Now

Menu
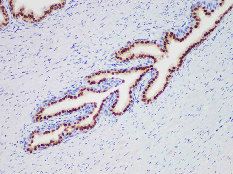
NKX3.1 Monoclonal Antibody Stored at 2~8°C

NKX3.1 Monoclonal Antibody Stored at 2~8°C

SKU: PA7256-1.5

To better serve you, we would like to discuss your specific requirement.
Please Contact Us for a quote.


-Request a Quote

NKX3.1 Monoclonal Antibody Stored at 2~8°C

 

Product Details

Host Rabbit
Reactivity Human
Applications IHC-P
Synonyms NKX3.1
Cellular Localization nucleus
Tissue Specificity prostatic cancer
Storage The RTU should be stored at 2~8°C protecting from light (Do not freeze),Valid for 12 months.
Shipping Ice bag

 

Background

NKX3.1 is an androgen-regulated homeobox gene specifically expressed in prostate cells. It is mainly localized in the prostatic epithelium, but is also present in the testis, ureter, and bronchial mucous glands of the lung. As a transcription factor, it has a key role in prostate development and tumor suppression. It is a negative regulator of epithelial cell growth in prostate tissue. NKX3.1 has a high sensitivity and specificity in tumors of prostate epithelial origin. It is not expressed in bladder cancer and nephrogenic tumors and can be used for the differential diagnosis of prostate cancer.

Share Share