Warehouse Overstock Promotion |  Save 10%  on Premium Lab Supplies |  Shop Now

Menu

This product has been added to the cart.

NFATC3 Polyclonal Antibody Store at -20°C

SKU: E-AB-10486-200

  • $ 33995
  • Save $ 6000


Request a Quote

NFATC3 Polyclonal Antibody Store at -20°C

 

SKU # E-AB-10486
Reactivity Human, Mouse
Host Rabbit
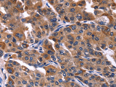
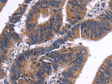
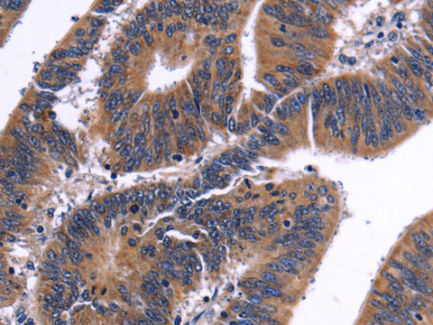
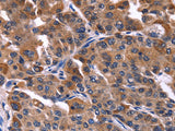
Applications IHC

 

Product Details

Isotype IgG
Host Rabbit
Reactivity Human,  Mouse
Applications IHC
Clonality Polyclonal
Immunogen Recombinant protein of human NFATC3
Abbre NFATC3
Synonyms C80703,  D8Ertd281e,  NF AT4,  NF ATc3,  NF-AT4,  NF-ATc3,  NFAC3,  NFATc3,  NFATx,  Nuclear factor of activated T cells,  Nuclear factor of activated T-cells,  T cell transcrip,  calcineurin dependent 3,  cytoplasmic,  cytoplasmic 3,  nuclear factor of activated T cells
Swissprot
Cellular Localization Cytoplasm. Nucleus. Cytoplasmic for the phosphorylated form and nuclear after activation that is controlled by calcineurin-mediated dephosphorylation. Rapid nuclear exit of NFATC is thought to be one mechanism by which cells distinguish between sustained and transient calcium signals. The subcellular localization of NFATC plays a key role in the regulation of gene transcription.
Concentration 0.5 mg/mL
Buffer Phosphate buffered solution, pH 7.4, containing 0.05% stabilizer and 50% glycerol.
Purification Method Affinity purification
Research Areas Cancer,  Epigenetics and Nuclear Signaling,  Signal Transduction
Conjugation Unconjugated
Storage Store at -20°C Valid for 12 months. Avoid freeze / thaw cycles.
Shipping The product is shipped with ice pack,upon receipt,store it immediately at the temperature recommended.

 

Related Reagents

Applications Recommended Dilution
IHC 1:50-1:200

 

Background

The product of this gene is a member of the nuclear factors of activated T cells DNA-binding transcription complex.This complex consists of at least two components: a preexisting cytosolic component that translocates to the nucleus upon T cell receptor (TCR) stimulation and an inducible nuclear component.Other members of this family participate to form this complex also.The product of this gene plays a role in the regulation of gene expression in T cells and immature thymocytes.Several transcript variants encoding distinct isoforms have been identified for this gene.