Warehouse Overstock Promotion |  Save 10%  on Premium Lab Supplies |  Shop Now

Menu

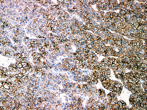
N-Cadherin Monoclonal Antibody Stored at 2~8°C

SKU: PA6203-1.5

To better serve you, we would like to discuss your specific requirement.
Please Contact Us for a quote.


-Request a Quote

N-Cadherin Monoclonal Antibody Stored at 2~8°C

 

Product Details

Host Mouse
Reactivity Human
Applications IHC-P
Synonyms N-Cadherin
Cellular Localization cell membrane
Tissue Specificity Liver cancer
Storage The RTU should be stored at 2~8°C protecting from light (Do not freeze),Valid for 12 months.
Shipping Ice bag

 

Background

N-cadherin is mainly expressed in nerve cells, endothelial cells, muscle cells and early hematopoietic stem cells. In addition, it is expressed in a variety of tumors such as mesothelioma, chordoma, synovial sarcoma, malignant melanoma, epithelioid sarcoma, epithelioid angiosarcoma, endometrial tumor and serous tumor of ovary. It can be used to distinguish mesothelioma from adenocarcinoma.

Share Share