Warehouse Overstock Promotion |  Save 10%  on Premium Lab Supplies |  Shop Now

Menu

This product has been added to the cart.

MSH6 Monoclonal Antibody Stored at 2~8°C Host Rabbit

MSH6 Monoclonal Antibody Stored at 2~8°C Host Rabbit

SKU: PA7058-1.5

  • $ 22495
  • Save $ 2700


Request a Quote

MSH6 Monoclonal Antibody Stored at 2~8°C Host Rabbit

 

Product Details

Host Rabbit
Reactivity Human
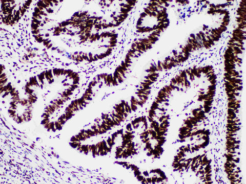
Applications IHC-P
Synonyms MSH6
Cellular Localization nucleus
Tissue Specificity Colon cancer
Storage The RTU should be stored at 2~8°C protecting from light (Do not freeze),Valid for 12 months.
Shipping Ice bag

 

Background

MSH6, known as MutS homolog 6 (E.coli), is a mismatch repair gene. DNA mismatch repair is very necessary to maintain the integrity of genetic information. The change of microsatellite's reproducibility is caused by the slippage of the hinge misalignment during DNA replication, which is also called microsatellite instability. Mutant mismatch repair proteins are often expressed in patients with high frequency microsatellite instability (MSI-H), which is related to autosomal dominant inheritance, also known as hereditary nonpolyposis colorectal cancer (HNPCC), and sporadic (MSI-H) colorectal cancer. MLH1, MSH2, MSH6 antibodies can be used to screen the disease in patients and their families.