Warehouse Overstock Promotion |  Save 10%  on Premium Lab Supplies |  Shop Now

Menu

This product has been added to the cart.

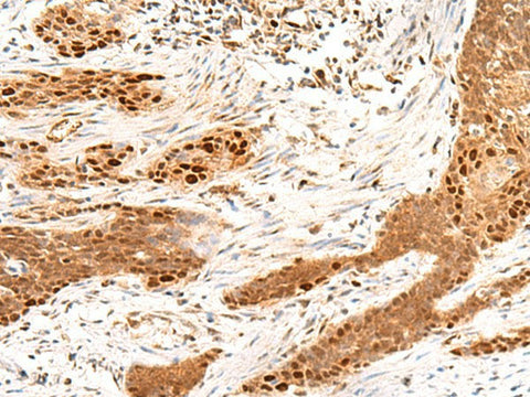
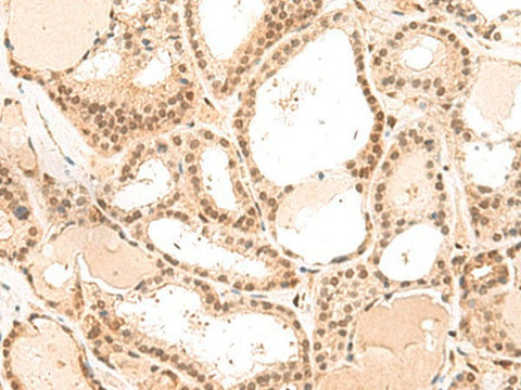
MKX Polyclonal Antibody Reactivity Human

SKU: E-AB-52906-200

  • $ 55995
  • Save $ 4000


Request a Quote

MKX Polyclonal Antibody Reactivity Human

 

SKU # E-AB-52906
Reactivity Human, Mouse
Host Rabbit
Applications IHC

 

Product Details

Isotype IgG
Host Rabbit
Reactivity Human, Mouse
Applications IHC
Clonality Polyclonal
Immunogen Fusion protein of human MKX
Abbre MKX
Synonyms 9430023B20Rik,  C10orf48,  Homeobox protein Mohawk,  IFRX,  IRXL1,  Iroquois family related homeodomain protein,  MGC39616,  MKX,  OTTHUMP00000019374,  iroquois homeobox protein like 1,  mohawk homeobox
Swissprot
Cellular Localization Nucleus.
Concentration 0.9 mg/mL
Buffer Phosphate buffered solution, pH 7.4, containing 0.05% stabilizer and 50% glycerol.
Purification Method Antigen affinity purification
Research Areas Epigenetics and Nuclear Signaling
Conjugation Unconjugated
Storage Store at -20°C Valid for 12 months. Avoid freeze / thaw cycles.
Shipping The product is shipped with ice pack, upon receipt, store it immediately at the temperature recommended.

 

Related Reagents

Applications Recommended Dilution
IHC 1:50-1:300

 

Background

The protein encoded by this gene is an IRX family-related homeobox protein that may play a role in cell adhesion. Studies in mice suggest that this protein may be a regulator of tendon development. Two transcript variants encoding the same protein have been found for this gene.