Warehouse Overstock Promotion |  Save 10%  on Premium Lab Supplies |  Shop Now

Menu

This product has been added to the cart.

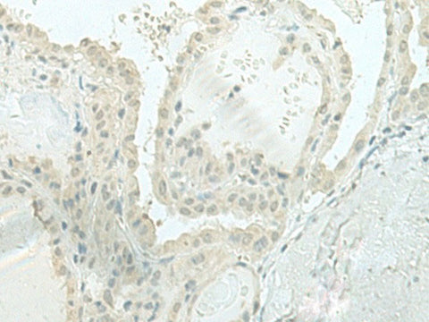
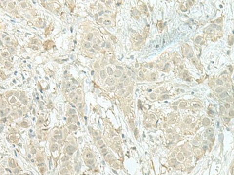
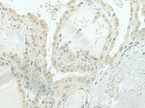
MIEN1 Polyclonal Antibody Reactivity Human

SKU: E-AB-52680-200

  • $ 55995
  • Save $ 4000


Request a Quote

MIEN1 Polyclonal Antibody Reactivity Human

 

SKU # E-AB-52680
Reactivity Human, Mouse
Host Rabbit
Applications IHC

 

Product Details

Isotype IgG
Host Rabbit
Reactivity Human, Mouse
Applications IHC
Clonality Polyclonal
Immunogen Fusion protein of human MIEN1
Abbre MIEN1
Synonyms C17orf37,  C17orf37 homolog,  C35,  HBV X transactivated gene 4 protein,  HBV X-transactivated gene 4 protein,  HBV XAg transactivated protein 4,  HBV XAg-transactivated protein 4,  MGC14832,  MIEN1,  Mien1,  Migration and invasion enhanc,  chromosome 17 open reading frame 37
Swissprot
Cellular Localization Cytoplasm>cytosol. Cell membrane. Concentrates at the leading edge of migrating cells. Localizes outside membrane raft regions.
Concentration 1.8 mg/mL
Buffer Phosphate buffered solution, pH 7.4, containing 0.05% stabilizer and 50% glycerol.
Purification Method Antigen affinity purification
Research Areas Tags,  Cell Markers
Conjugation Unconjugated
Storage Store at -20°C Valid for 12 months. Avoid freeze / thaw cycles.
Shipping The product is shipped with ice pack, upon receipt, store it immediately at the temperature recommended.

 

Related Reagents

Applications Recommended Dilution
IHC 1:50-1:300

 

Background

Increases cell migration by inducing filopodia formation at the leading edge of migrating cells. Plays a role in regulation of apoptosis, possibly through control of CASP3. May be involved in a redox-related process.