Warehouse Overstock Promotion |  Save 10%  on Premium Lab Supplies |  Shop Now

Menu

This product has been added to the cart.

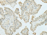
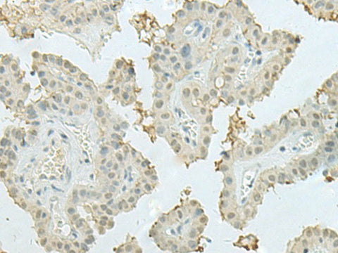
MECOM Polyclonal Antibody

SKU: E-AB-19826-200

  • $ 55995
  • Save $ 4000


Request a Quote

MECOM Polyclonal Antibody

 

SKU # E-AB-19826
Reactivity Human,  Mouse
Host Rabbit
Applications IHC

 

Product Details

Isotype IgG
Host Rabbit
Reactivity Human,  Mouse
Applications IHC
Clonality Polyclonal
Immunogen Synthetic peptide of human MECOM
Abbre MECOM
Synonyms EVI1,  Ecotropic Viral Integration Site 1,  Ecotropic Virus Integration Site 1 Protein Homolog,  MDS1,  MDS1 And EVI1 Complex Locus Protein,  MDS1 And EVI1 Complex Locus Protein EVI1,  MDS1 And EVI1 Complex Locus Protein MDS1,  Myelodysplasia Syndrome 1 Pro,  PR Domain 3
Swissprot
Cellular Localization Cytoplasm, Nucleus.
Concentration 1.68 mg/mL
Buffer Phosphate buffered solution, pH 7.4, containing 0.05% stabilizer and 50% glycerol.
Purification Method Antigen affinity purification
Research Areas Cancer,  Epigenetics and Nuclear Signaling
Conjugation Unconjugated
Storage Store at -20°C Valid for 12 months. Avoid freeze / thaw cycles.
Shipping The product is shipped with ice pack,upon receipt,store it immediately at the temperature recommended.

 

Related Reagents

Applications Recommended Dilution
IHC 1:40-1:200

 

Background   

The protein encoded by this gene is a transcriptional regulator and oncoprotein that may be involved in hematopoiesis, apoptosis, development, and cell differentiation and proliferation. The encoded protein can interact with CTBP1, SMAD3, CREBBP, KAT2B, MAPK8, and MAPK9. This gene can undergo translocation with the AML1 gene, resulting in overexpression of this gene and the onset of leukemia. Several transcript variants encoding a few different isoforms have been found for this gene.