Warehouse Overstock Promotion |  Save 10%  on Premium Lab Supplies |  Shop Now

Menu

This product has been added to the cart.

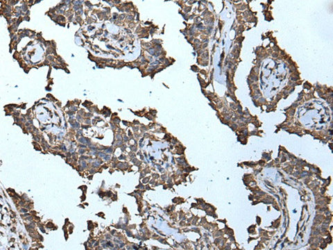
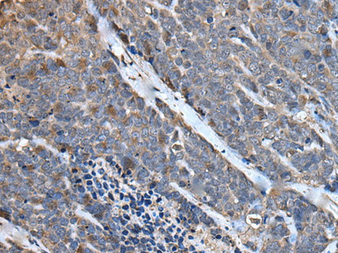
MCM10 Polyclonal Antibody Reactivity Mouse

SKU: E-AB-52160-200

  • $ 55995
  • Save $ 4000


Request a Quote

MCM10 Polyclonal Antibody Reactivity Mouse

 

SKU # E-AB-52160
Reactivity Human, Mouse
Host Rabbit
Applications IHC

 

Product Details

Isotype IgG
Host Rabbit
Reactivity Human, Mouse
Applications IHC
Clonality Polyclonal
Immunogen Fusion protein of human MCM10
Abbre MCM10
Synonyms MCM10 Minichromosome Maintenance Deficient 10 ,  CNA43,  DNA43,  Homolog Of Yeast MCM10,  HsMCM10,  Minichromosome Maintenance 10 Replication Initiation Factor,  Minichromosome Maintenance Complex Component 10,  PRO2249,  Protein MCM10 Homolog
Swissprot
Cellular Localization Nucleus
Concentration 0.7 mg/mL
Buffer Phosphate buffered solution, pH 7.4, containing 0.05% stabilizer and 50% glycerol.
Purification Method Antigen affinity purification
Research Areas Epigenetics and Nuclear Signaling
Conjugation Unconjugated
Storage Store at -20°C Valid for 12 months. Avoid freeze / thaw cycles.
Shipping The product is shipped with ice pack, upon receipt, store it immediately at the temperature recommended.

 

Related Reagents

Applications Recommended Dilution
IHC 1:35-1:200

 

Background

The protein encoded by this gene is one of the highly conserved mini-chromosome maintenance proteins (MCM) that are involved in the initiation of eukaryotic genome replication. The hexameric protein complex formed by MCM proteins is a key component of the pre-replication complex (pre-RC) and it may be involved in the formation of replication forks and in the recruitment of other DNA replication related proteins. This protein can interact with MCM2 and MCM6, as well as with the origin recognition protein ORC2. It is regulated by proteolysis and phosphorylation in a cell cycle-dependent manner. Studies of a similar protein in Xenopus suggest that the chromatin binding of this protein at the onset of DNA replication is after pre-RC assembly and before origin unwinding. Alternatively spliced transcript variants encoding distinct isoforms have been identified.