Warehouse Overstock Promotion |  Save 10%  on Premium Lab Supplies |  Shop Now

Menu

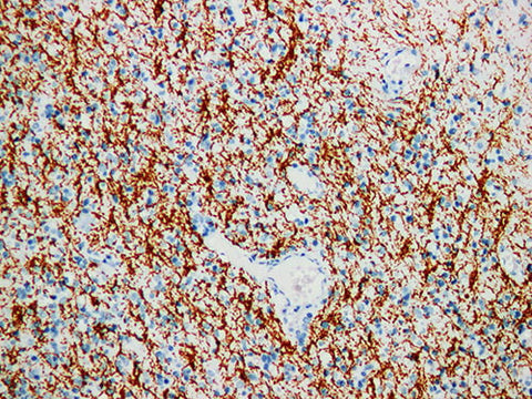
MBP Monoclonal Antibody Stored at 2~8°C

SKU: PA6201-1.5

To better serve you, we would like to discuss your specific requirement.
Please Contact Us for a quote.


-Request a Quote

Mammaglobin Monoclonal Antibody Stored at 2~8°C

 

Product Details

Host Mouse
Reactivity Human
Applications IHC-P
Synonyms MBP
Cellular Localization Cytoplasm
Tissue Specificity Glioma
Storage The RTU should be stored at 2~8°C protecting from light (Do not freeze),Valid for 12 months.
Shipping Ice bag

 

Background

Myelin Basic Protein(MBP) is the main component of myelin structural protein. It is expressed in neuroma, neurofibroma, neurodifferentiated tumor (ganglioblastoma, gangliocytoma, paraganglioma), but not in gliomas and gliomas. In neurofibroma, CD57 and GFAP are combined to differentiate neuronevus. MBP +, CD57 +, GFAP +, CD57 -, GFAP - and MBP - in neurofibroma.

Share Share