Warehouse Overstock Promotion |  Save 10%  on Premium Lab Supplies |  Shop Now

Menu

This product has been added to the cart.

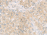
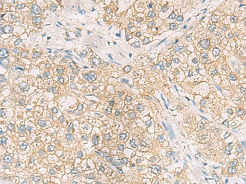
MAPK14 Polyclonal Antibody Reactivity Mouse

SKU: E-AB-52163-200

  • $ 55995
  • Save $ 4000


Request a Quote

MAPK14 Polyclonal Antibody Reactivity Mouse

 

SKU # E-AB-52163
Reactivity Human, Mouse, Rat
Host Rabbit
Applications IHC

 

Product Details

Isotype IgG
Host Rabbit
Reactivity Human, Mouse, Rat
Applications IHC
Clonality Polyclonal
Immunogen Fusion protein of human MAPK14
Abbre MAPK14
Synonyms CSAID Binding Protein 1,  CSAID binding protein,  CSAID-binding protein,  CSBP,  CSBP 1,  CSBP 2,  CSBP1,  CSBP2,  CSPB1,  Csaids binding protein,  Cytokine suppressive anti-inflammatory drug-binding protein,  EXIP,  MAP,  MAP kinase 14,  MAP kinase MXI2,  MAP kinase p38 alpha,  MAPK 14
Swissprot
Cellular Localization Cytoplasm. Nucleus.
Concentration 1.2 mg/mL
Buffer Phosphate buffered solution, pH 7.4, containing 0.05% stabilizer and 50% glycerol.
Purification Method Antigen affinity purification
Research Areas Cancer,  Immunology,  Signal Transduction
Conjugation Unconjugated
Storage Store at -20°C Valid for 12 months. Avoid freeze / thaw cycles.
Shipping The product is shipped with ice pack, upon receipt, store it immediately at the temperature recommended.

 

Related Reagents

Applications Recommended Dilution
IHC 1:50-1:200

 

Background

MAPK14(mitogen-activated protein kinase 14) is also named as SAPK2A,p38MAPK,CSBP1,RK,p38,EXIP,Mxi2,CSBP2,PRKM14,PRKM15,CSPB1,p38ALPHA and belongs to the MAP kinase subfamily. MAPK14-signaling is a central pathway for the integration of instructive signals in dendritic cells for T(H)17 differentiation and inflammation. It plays an important role in the regulation of hematopoietic stem cellself-renewal in vitro and inhibition of MAPK14 activation with a small molecule inhibitor may represent a novel approach to promote ex vivo expansion of hematopoietic stem cell. This protein has 4 isoforms produced by alternative splicing.