Warehouse Overstock Promotion |  Save 10%  on Premium Lab Supplies |  Shop Now

Menu

This product has been added to the cart.

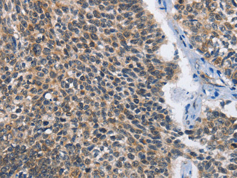
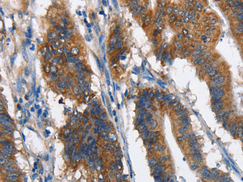
MAD2L1BP Polyclonal Antibody Store at -20°C

SKU: E-AB-10441-200

  • $ 33995
  • Save $ 6000


Request a Quote

MAD2L1BP Polyclonal Antibody Store at -20°C

 

SKU # E-AB-10441
Reactivity Human
Host Rabbit
Applications IHC

 

Product Details

Isotype IgG
Host Rabbit
Reactivity Human
Applications IHC
Clonality Polyclonal
Immunogen Recombinant protein of human MAD2L1BP
Abbre MAD2L1BP
Synonyms CMT2,  Caught by MAD2 protein,  KIAA0110,  MAD2L1 binding protein,  MAD2L1 binding protein isoform 2,  MAD2L1-binding protein,  MD2BP,  MGC11282,  Mad2l1bp,  OTTHUMP00000016496,  RP1 261G23.6,  dJ261G23.1
Swissprot
Cellular Localization Nucleus. Cytoplasm>cytoskeleton>spindle. During early mitosis, unevenly distributed throughout the nucleoplasm. From metaphase to anaphase, concentrated on the spindle.
Concentration 0.8 mg/mL
Buffer Phosphate buffered solution, pH 7.4, containing 0.05% stabilizer and 50% glycerol.
Purification Method Affinity purification
Research Areas Cancer,  Cell Biology
Conjugation Unconjugated
Storage Store at -20°C Valid for 12 months. Avoid freeze / thaw cycles.
Shipping The product is shipped with ice pack,upon receipt,store it immediately at the temperature recommended.

 

Related Reagents

Applications Recommended Dilution

IHC

1:100-1:300

 

Background

The protein encoded by this gene was identified as a binding protein of the MAD2 mitotic arrest deficient-like 1 (MAD2/MAD2L1). MAD2 is a key component of the spindle checkpoint that delays the onset of anaphase until all the kinetochores are attached to the spindle. This protein may interact with the spindle checkpoint and coordinate cell cycle events in late mitosis. Alternatively spliced transcript variants encoding distinct isoforms have been observed.