Warehouse Overstock Promotion |  Save 10%  on Premium Lab Supplies |  Shop Now

Menu

This product has been added to the cart.

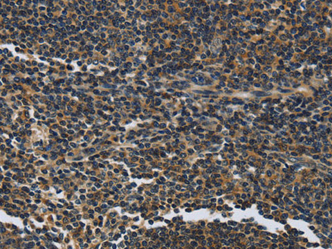
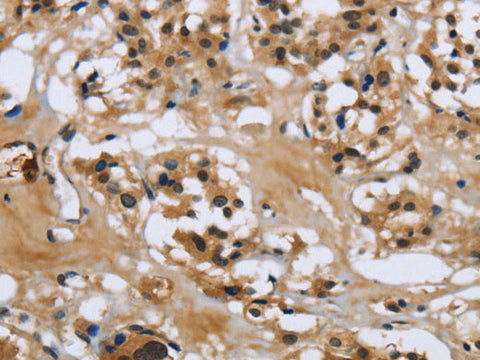
LGALS7 Polyclonal Antibody

SKU: E-AB-12442-200

  • $ 55995
  • Save $ 4000


Request a Quote

LGALS7 Polyclonal Antibody

 

SKU # E-AB-12442
Reactivity Human
Host Rabbit
Applications IHC

 

Product Details

Isotype IgG
Host Rabbit
Reactivity Human
Applications IHC
Clonality Polyclonal
Immunogen Synthetic peptide of human LGALS7
Abbre LGALS7
Synonyms 7B,  GAL7,  Gal-7,  Galectin 7B,  Galectin-7,  HKL-14,  Human keratinocyte lectin 14,  Keratinocyte lectin 14,  LEG7,  LGALS7,  LGALS7A,  LGALS7B,  Lectin,  Lectin galactoside binding soluble 7,  P53 induced protein 1,  PIG1,  Pi7,  T,  galactoside binding,  p53-induced gene 1 protein,  soluble
Swissprot
Cellular Localization Cytoplasm. Nucleus. Secreted. May be secreted by a non-classical secretory pathway.
Concentration 0.5 mg/mL
Buffer Phosphate buffered solution, pH 7.4, containing 0.05% stabilizer and 50% glycerol.
Purification Method Affinity purification
Research Areas Cancer,  Neuroscience
Conjugation Unconjugated
Storage Store at -20°C Valid for 12 months. Avoid freeze / thaw cycles.
Shipping The product is shipped with ice pack,upon receipt,store it immediately at the temperature recommended.

 

Related Reagents

Applications Recommended Dilution
IHC 1:50-1:200

 

Background

The galectins are a family of beta-galactoside-binding proteins implicated in modulating cell-cell and cell-matrix interactions. Differential and in situ hybridization studies indicate that this lectin is specifically expressed in keratinocytes and found mainly in stratified squamous epithelium. A duplicate copy of this gene (GeneID:653499) is found adjacent to, but on the opposite strand on chromosome 19.