Warehouse Overstock Promotion |  Save 10%  on Premium Lab Supplies |  Shop Now

Menu

This product has been added to the cart.

KLRB1 Polyclonal Antibody

SKU: E-AB-52184-200

  • $ 55995
  • Save $ 4000


Request a Quote

KLRB1 Polyclonal Antibody

 

SKU # E-AB-52184
Reactivity Human
Host Rabbit
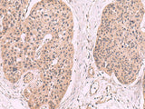
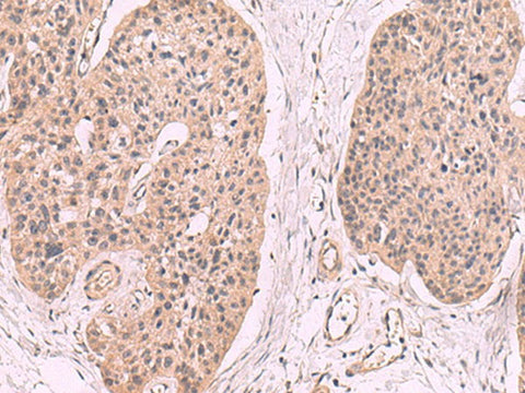
Applications WB, IHC

 

Product Details

Isotype IgG
Host Rabbit
Reactivity Human
Applications WB, IHC
Clonality Polyclonal
Immunogen Fusion protein of human KLRB1
Abbre KLRB1
Synonyms C-type lectin domain family 5 member B,  CD161,  CLEC5B,  HNKR-P1a,  KLRB1,  Killer Cell Lectin like Receptor Subfamily B Member 1,  Killer cell lectin-like receptor subfamily B member 1,  NKR,  NKR P1,  NKR-P1A,  NKRP1,  NKRP1A,  Natural killer cell surface protein P1A
Swissprot
Calculated MW 25 kDa
Observed MW Refer to figures
Cellular Localization Membrane.
Concentration 1 mg/mL
Buffer Phosphate buffered solution, pH 7.4, containing 0.05% stabilizer and 50% glycerol.
Purification Method Antigen affinity purification
Research Areas Immunology
Conjugation Unconjugated
Storage Store at -20°C Valid for 12 months. Avoid freeze / thaw cycles.
Shipping The product is shipped with ice pack, upon receipt, store it immediately at the temperature recommended.

 

Related Reagents

Applications Recommended Dilution
WB 1:500-1:2000
IHC 1:50-1:300

 

Background

Natural killer (NK) cells are lymphocytes that mediate cytotoxicity and secrete cytokines after immune stimulation. Several genes of the C-type lectin superfamily, including the rodent NKRP1 family of glycoproteins, are expressed by NK cells and may be involved in the regulation of NK cell function. The KLRB1 protein contains an extracellular domain with several motifs characteristic of C-type lectins, a transmembrane domain, and a cytoplasmic domain. The KLRB1 protein is classified as a type II membrane protein because it has an external C terminus.