Warehouse Overstock Promotion |  Save 10%  on Premium Lab Supplies |  Shop Now

Menu

This product has been added to the cart.

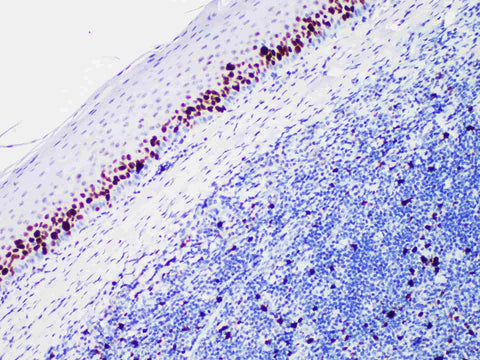
Ki-67 Monoclonal Antibody stored at 2~8°C Host Rabbit

Ki-67 Monoclonal Antibody stored at 2~8°C Host Rabbit

SKU: PA7052-1.5

  • $ 22195
  • Save $ 2700


Request a Quote

Ki-67 Monoclonal Antibody stored at 2~8°C Host Rabbit

 

Product Details

Host Rabbit
Reactivity Human
Applications IHC-P
Synonyms Ki-67
Cellular Localization nucleus
Tissue Specificity Tonsil
Storage The RTU should be stored at 2~8°C protecting from light (Do not freeze),Valid for 12 months.
Shipping Ice bag

 

Background

Ki-67 antigen is a nuclear protein related to cell proliferation, which may be the key factor of cell proliferation. In addition, Ki-67 is related to ribosomal RNA transcription. Ki-67 is present in G1, S, M and G2 phases of cell division cycle, but not in G0 phase of cell quiescence. Ki-67 is used to judge the different types of tumors, because it exists in all proliferating cells (normal cells and tumor cells), and it is a very good marker to determine the proliferation rate of a given cell population.