Warehouse Overstock Promotion |  Save 10%  on Premium Lab Supplies |  Shop Now

Menu

This product has been added to the cart.

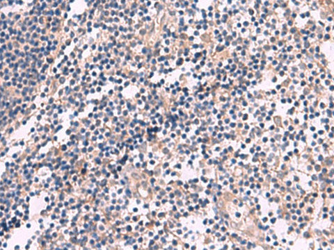
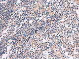
KCNN3 Polyclonal Antibody Reactivity Human

SKU: E-AB-52084-200

  • $ 55995
  • Save $ 4000


Request a Quote

KCNN3 Polyclonal Antibody Reactivity Human

 

SKU # E-AB-52084
Reactivity Human, Mouse, Rat
Host Rabbit
Applications IHC

 

Product Details

Isotype IgG
Host Rabbit
Reactivity Human, Mouse, Rat
Applications IHC
Clonality Polyclonal
Immunogen Synthetic peptide of human KCNN3
Abbre KCNN3
Synonyms KCNN3,  KCa2.3,  Kcnn3,  Potassium calcium activated channel subfamily N member 3,  Potassium channel,  Potassium channel calcium activated intermediate/small conductance subfamily N alpha member 3,  calcium activated,  hSK3,  intermediate/small conductance,  m,  subfamily N
Swissprot
Cellular Localization Membrane.
Concentration 1.8 mg/mL
Buffer Phosphate buffered solution, pH 7.4, containing 0.05% stabilizer and 50% glycerol.
Purification Method Antigen affinity purification
Research Areas Neuroscience,  Signal Transduction
Conjugation Unconjugated
Storage Store at -20°C Valid for 12 months. Avoid freeze / thaw cycles.
Shipping The product is shipped with ice pack, upon receipt, store it immediately at the temperature recommended.

 

Related Reagents

Applications Recommended Dilution
IHC 1:50-1:300

 

Background

KCNN3 (Potassium Calcium-Activated Channel Subfamily N Member 3) is a Protein Coding gene. Diseases associated with KCNN3 include Spinocerebellar Ataxia 2 and Bipolar Disorder. Among its related pathways are Insulin secretion and Transmission across Chemical Synapses. GO annotations related to this gene include protein heterodimerization activity and calcium-activated potassium channel activity. An important paralog of this gene is KCNN2.Action potentials in vertebrate neurons are followed by an afterhyperpolarization (AHP) that may persist for several seconds and may have profound consequences for the firing pattern of the neuron. Each component of the AHP is kinetically distinct and is mediated by different calcium-activated potassium channels. This gene belongs to the KCNN family of potassium channels. It encodes an integral membrane protein that forms a voltage-independent calcium-activated channel, which is thought to regulate neuronal excitability by contributing to the slow component of synaptic AHP. This gene contains two CAG repeat regions in the coding sequence. It was thought that expansion of one or both of these repeats could lead to an increased susceptibility to schizophrenia or bipolar disorder, but studies indicate that this is probably not the case. Alternatively spliced transcript variants encoding different isoforms have been found for this gene.