KCNJ11 Polyclonal Antibody Store at -20°C
Couldn't load pickup availability
Still have questions? Ask our experts!
KCNJ11 Polyclonal Antibody Store at -20°C
| SKU # | E-AB-14986 |
| Reactivity | Human, Mouse, Rat |
| Host | Rabbit |
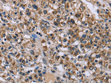
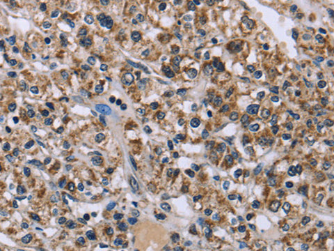
| Applications | IHC |
Product Details
| Isotype | IgG |
| Host | Rabbit |
| Reactivity | Human, Mouse, Rat |
| Applications | IHC |
| Clonality | Polyclonal |
| Immunogen | Recombinant protein of human KCNJ11 |
| Abbre | KCNJ11 |
| Synonyms | ATP sensitive inward rectifier potassium channel 11, BIR, Beta cell inward rectifier subunit, HHF 2, HHF2, IKATP, IRK 11, IRK11, Inward rectifier K(+) channel Kir6.2, Inwardly rectifying potassium channel KIR6.2, KCNJ11, Kir 6.2, Kir6.2, MGC133230, PHHI, Potassium chann |
| Swissprot | |
| Cellular Localization | Cell membrane, Multi-pass membrane protein. |
| Concentration | 0.7 mg/mL |
| Buffer | Phosphate buffered solution, pH 7.4, containing 0.05% stabilizer and 50% glycerol. |
| Purification Method | Affinity purification |
| Research Areas | Cancer, Cardiovascular, Metabolism, Neuroscience, Signal Transduction |
| Conjugation | Unconjugated |
| Storage | Store at -20°C Valid for 12 months. Avoid freeze / thaw cycles. |
| Shipping | The product is shipped with ice pack,upon receipt,store it immediately at the temperature recommended. |
Related Reagents
| Applications | Recommended Dilution |
| IHC | 1:50-1:200 |
Background
Potassium channels are present in most mammalian cells, where they participate in a wide range of physiologic responses. The protein encoded by this gene is an integral membrane protein and inward-rectifier type potassium channel. The encoded protein, which has a greater tendency to allow potassium to flow into a cell rather than out of a cell, is controlled by G-proteins and is found associated with the sulfonylurea receptor SUR. Mutations in this gene are a cause of familial persistent hyperinsulinemic hypoglycemia of infancy (PHHI), an autosomal recessive disorder characterized by unregulated insulin secretion. Defects in this gene may also contribute to autosomal dominant non-insulin-dependent diabetes mellitus type II (NIDDM), transient neonatal diabetes mellitus type 3 (TNDM3), and permanent neonatal diabetes mellitus (PNDM). Multiple alternatively spliced transcript variants that encode different protein isoforms have been described for this gene.