Warehouse Overstock Promotion |  Save 10%  on Premium Lab Supplies |  Shop Now

Menu

This product has been added to the cart.

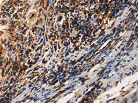
IRAK2 Polyclonal Antibody Reactivity Human

SKU: E-AB-52156-200

  • $ 55995
  • Save $ 4000


Request a Quote

IRAK2 Polyclonal Antibody Reactivity Human

 

SKU # E-AB-52156
Reactivity Human
Host Rabbit
Applications IHC

 

Product Details

Isotype IgG
Host Rabbit
Reactivity Human
Applications IHC
Clonality Polyclonal
Immunogen Fusion protein of human IRAK2
Abbre IRAK2
Synonyms IRAK 2,  IRAK-2,  IRAK2,  Interleukin 1 receptor associated kinase 2,  Interleukin 1 receptor associated kinase like 2,  Interleukin-1 receptor-associated kinase-like 2,  Irak2,  MGC150550,  il1rak2
Swissprot
Cellular Localization Cytosol, Endosome membrane, Nucleus, Plasma Membrane, Other locations: cytoplasm.
Concentration 0.6 mg/mL
Buffer Phosphate buffered solution, pH 7.4, containing 0.05% stabilizer and 50% glycerol.
Purification Method Antigen affinity purification
Research Areas Cancer,  Immunology,  Signal Transduction
Conjugation Unconjugated
Storage Store at -20°C Valid for 12 months. Avoid freeze / thaw cycles.
Shipping The product is shipped with ice pack, upon receipt, store it immediately at the temperature recommended.

 

Related Reagents

Applications Recommended Dilution
IHC 1:50-1:200

 

Background

IRAK2 encodes the interleukin-1 receptor-associated kinase 2, one of two putative serine/threonine kinases that become associated with the interleukin-1 receptor (IL1R) upon stimulation. IRAK2 is reported to participate in the IL1-induced upregulation of NF-kappaB.